SUBMIT YOUR MANUSCRIPT

VOLUME 3, YEAR 2025

  Case Report     2025  

An Atypical Presentation of Osseous Hydatid Disease: A Case Report

By Faiza Rasheed, Warda Talat, Asma Khan

Affiliations

  1. Department of Pathology, Indus Hospital and Health Network, Karachi, Pakistan

ABSTRACT
The larval form of Echinococcus granulosus is an aetiologic agent for hydatid cyst disease. It most commonly affects the liver and lungs, and rarely bones. The authors report a case of a 22-year male, who presented with hip pain, along with fever for the past 3 months. The patient was initially treated for tuberculosis. There was a multi-cystic lesion on radiologic assessment, resulting in surgical intervention. The cyst was excised. Histopathological examination confirmed the diagnosis of hydatid disease. It is essential to consider hydatid cyst in the differential diagnoses in regions where the disease is endemic, for early detection and appropriate treatment.

Key Words: Bone hydatid disease, Echinococcus granulosus, Tuberculosis.

INTRODUCTION

Hydatid disease of bone, also known as osseous hydatid disease, is an unusual manifestation of Echinococcosis granulosus. It is caused by the larval form of the tapeworm Echinococcus granulosus. Due to its atypical presentation and non-specific clinical features, it poses a significant diagnostic dilemma. The liver and lungs are most frequently affected in 60-70% and 20-30% cases, respectively.1 Bone involvement is relatively rare and accounts for only 0.5-4% of all cases.1,2 Vertebrae, pelvis, and long bones are commonly affected. The femur is less frequently involved.3 Transmission to humans occurs through ingestion of contaminated food or water or spreads by direct contact with infected animals, particularly dogs, which are definitive hosts.4 After ingestion, the larvae travel through the bloodstream and lodge in different organs, causing hydatid cysts in different organs.5 Due to the compact structure of bone, it is difficult for the larvae to traverse through it. This results in the development of cyst formation, which is often misdiagnosed as other pathological conditions, such as tumours or infections.1,2

In the present case, the patient’s past history of tuberculosis added complexity in establishing a clear diagnosis. Early recognition and appropriate management are crucial to preventing complications, recurrence, and potential morbidity, which are associated with progression of disease.1,3,4

Understanding the clinical and radiological characteristics of osseous hydatid cysts is essential for orthopaedic surgeons and healthcare providers to ensure timely and effective inter- vention.

CASE   REPORT

A 22-year male, successfully treated for right supra-acetabular tuberculosis in 2017, presented with a history of falls three months back, after which he developed right-sided hip pain that gradually involved the knee region. He also had a complaint of high-grade intermittent fever for the past 3 months.

Magnetic resonance imaging (MRI) with contrast showed erosion of the right iliac bone, acetabulum, femur, and hemisacrum, with two large multi-cystic collections. A permeative destructive lesion was identified in the proximal segment of the right femur, measuring approximately 11 cm. Post- contrast images revealed a heterogeneous appearance, suggesting significant inflammatory changes in the surround-ing soft tissue and destruction of the right hip joint resulting in subluxation. There were patchy enhancing foci in the mid-shaft of the right femur, raising suspicion of synchronous medullary infective or neoplastic deposits.

Peroperatively, a discharging sinus was seen over the proximal and distal sites of the iliac crest. On incision, white gelatinous material was seen draining from the cystic cavity, and the involved bone appeared fragile. The surgical procedure was completed without complications, and the patient was monitored for postoperative recovery.

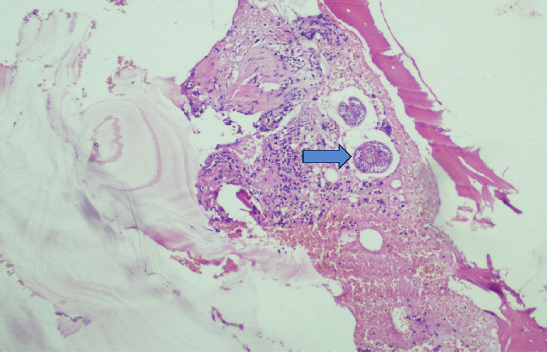
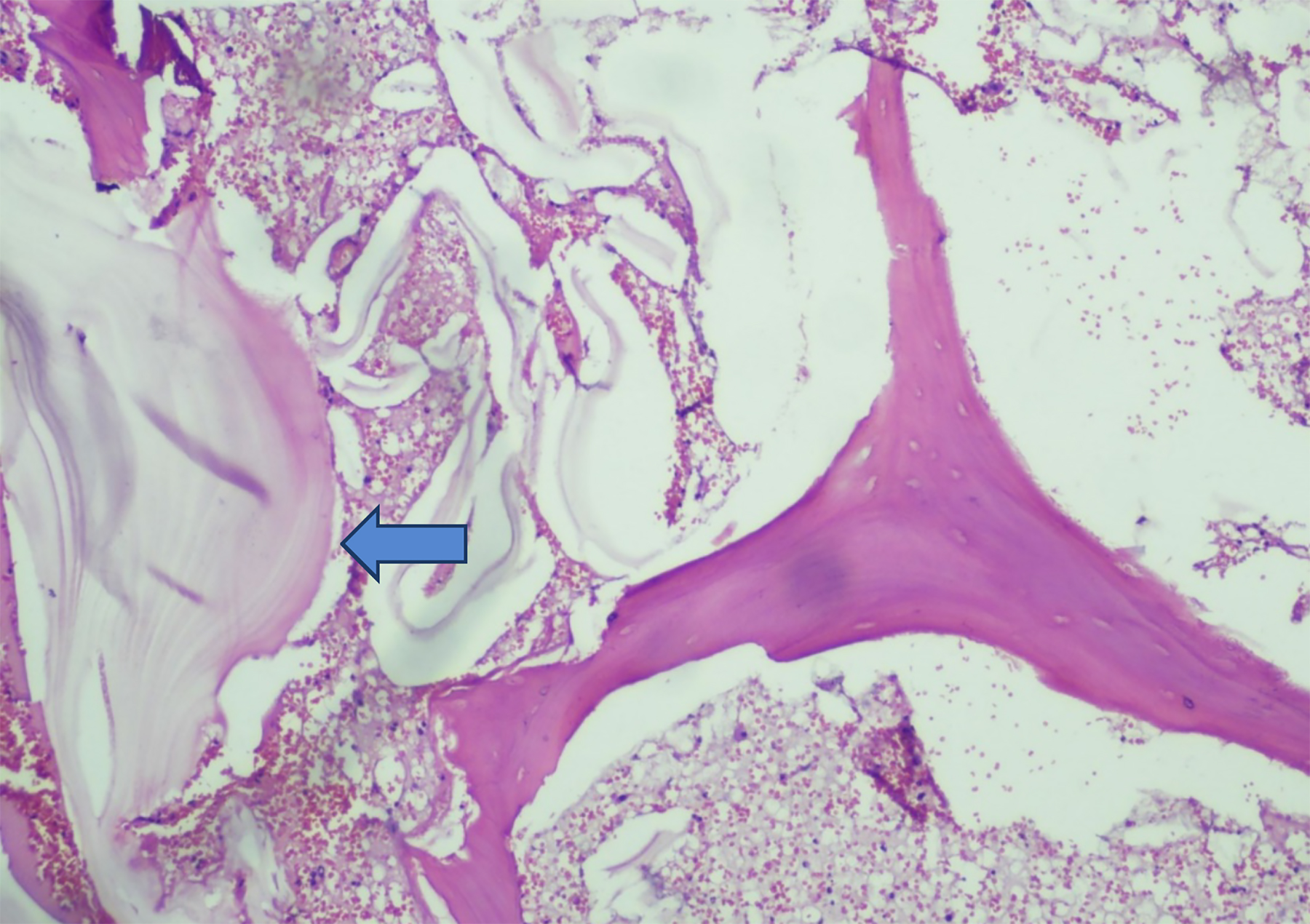
Histopathological examination of the excised tissue revealed the presence of laminated membranes and scolices (Figure 1), confirming the diagnosis of a hydatid cyst. The cyst wall exhibited a characteristic three-layered structure: an outer fibrous capsule, a middle layer containing a laminated and acellular material, and an inner germinal layer with protoscolices (Figure 2). These findings are crucial for differentiating hydatid disease from other cystic lesions.

Figure  1:  High-power view showing cyst contents, laminated and acellular material, in between the bone trabeculae.

Figure  2:  High-power view showing the germinal layer with protoscolices present adjacent to bone trabeculae.

DISCUSSION

Osseous hydatid disease is the involvement of bone by the larval form of the tapeworm, Echinococcus granulosus. It is a rare disease, accounting for only 0.5-2.5% of all hydatid cysts.1 Among them, approximately 30-50% show involvement of vertebrae, while about 15% affect the pelvis.1 Long bones are involved less frequently.1 It is a slow and diffuse process. The spongy tissues in bone provide a favourable environment for the growth of numerous microvesicles. These ultimately destroy the cortex with a subsequent spread to the surrounding tissues.1

The recognition of bone hydatid cysts is challenging due to their non-specific clinical and radiological presentations. The vague onset of symptoms, particularly in young patients, can lead to delayed diagnosis and treatment. It can result in misdiagnosis as other musculoskeletal infections or tumours. Hydatid cyst disease needs to be considered in the differential diagnoses, especially when one is dealing with patients living in regions where the disease is endemic or with individuals having relevant past exposure history.1,4 In this case, the patient’s history of tuberculosis added complexity in making a conclusive diagnosis based on clinical history and radiological features.3 Imaging studies, especially MRI, play a pivotal role in its diagnosis, owing to their ability to reveal the characteristic multi-cystic appearance of hydatid cysts.1,3 The confirmatory diagnosis is often made intraoperatively or through histo- pathological examination.2 The treatment is medical and surgical, with the primary goal being complete excision of the hydatid lesions.5 The utility of adjunctive anthelmintics, such as albendazole, is endorsed to reduce cyst size, sterilise the cysts' contents before surgery, and treat any small cysts that may not have been noticed.1,3 Due to its notable morbidity and mortality rates, it has gained the label of white cancer.2,5 The graveness of its prognosis accentuates the importance of early recognition and appropriate management in order to prevent further complications and enhance outcomes.4,5

This case emphasises the need for increased awareness of osseous hydatid cysts among clinicians, particularly in patients presenting with bone lesions in endemic areas. The microscopic histopathological examination remains the gold standard for diagnosis, highlighting the importance of surgical intervention in unusual presentations of hydatid disease.

PATIENT’S  CONSENT:
Written informed consent was taken from the patient for publication of this case report and accompanying images.

COMPETING  INTEREST:
The  authors  declared  no  conflict  of  interest.

AUTHORS’  CONTRIBUTION:
FR: Conception, analysis, interpretation, and drafting.
WT: Analysis and interpretation.
AK: Analysis and initial drafting.
All authors approved the final version of the manuscript to be published.

REFERENCES

  1. Laasri K, Naggar A, Bahlouli N, Chait F, Ahallat I, Boufettal M, et al. Osseous hydatid disease: A mimic of other skeletal pathologies. Radiol Case Rep 2023; 18(9):3145-51. doi: 10.1016/j.radcr.2023.06.022.
  2. Song XH, Ding LW, Wen H. Bone hydatid disease. Postgrad Med J 2007; 83(982):536-42. doi: 10.1136/pgmj.2007. 057166.
  3. Paruchuri RK, Kapoor A. Osseous hydatid disease—A series of cases. Indian J Musculoskeletal Radiol 2020; 2:120-4. doi: 10.25259/IJMSR_27_2020.
  4. Meng Y, Ren Q, Xiao J, Sun H, Huang Y, Liu Y, et al. Progress of research on the diagnosis and treatment of bone cystic echinococcosis. Front Microbiol 2023; 14:1273870. doi: 10. 3389/fmicb.2023.1273870.
  5. Vlok M, Buckley HR, Domett K, Willis A, Tromp M, Trinh HH, et al. Hydatid disease (Echinococcosis granulosis) diagnosis from skeletal osteolytic lesions in an early seventh‐millennium BP forager community from preagricultural Northern Vietnam. Am J Biol Anthropol 2022; 177(1): 100-15. doi: 10.1002/ajpa.24435. 

Copyright © 2025. The author(s); published by College of Physicians and Surgeons Pakistan. This is an open-access article distributed under the terms of the CreativeCommons Attribution License (CC BY-NC-ND) 4.0 https://creativecommons.org/licenses/by-nc-nd/4.0/ which permits unrestricted use, distribution, and reproduction in any medium, provided the original work is properly cited.