SUBMIT YOUR MANUSCRIPT

VOLUME 3, YEAR 2025

  Case Report     2025  

Dual Bile Leak Mystery after Laparoscopic Cholecystectomy: A Case Report

By Ahmed Siddique Ammar, Faryal Ufaq, Ammara Akbar, Humaira Alam, Muhammad Shoaib

Affiliations

  1. Department of General Surgery, CMA Research Hospital, Lahore, Pakistan

ABSTRACT
One common side effect following cholecystectomy is bile leakage. Less frequently, the bile may come from the aberrant ducts of Luschka, although it can also come from the cystic duct stump. When anatomical variations in the biliary tract go unnoticed, such complications may arise. Isolated bile leakage from the biliary tree after laparoscopic cholecystectomy is reported in the literature, but in this case report, we present a case of bile leakage after laparoscopic cholecystectomy from two sites of the biliary tree with a gap of one week. The first site of bile leak was managed endoscopically, while the second site of bile leak needed surgical re-exploration. There are several anatomical variances in the biliary tree. When it comes to the surgical treatment of individuals with biliary disease, these variances become clinically significant. To reduce the danger of bile leakage during cholecystectomy, surgeons should be aware of these variances.

Key Words: Bile leakage, Cholecystectomy, Laparoscopy, Gallstones.

INTRODUCTION

The biliary system has a considerable degree of anatomic variability, with variation rates exceeding 40%.1 The second most common postoperative complication in laparoscopic cholecystectomy is biliary tract leakage. Although it typically appears within the first week following surgery, bile leak symptoms may appear and be identified up to 30 days later.2,3 During laparoscopic cholecystectomy, electrothermal energy, particularly monopolar diathermy, is frequently employed for dissection. Although this is generally safe, electrothermal damage may occasionally occur due to an undetected energy.4

In this case report, we present a postoperative case of laparo- scopic cholecystectomy presenting with a bile leak.

CASE  REPORT

A 45-year female presented in the outpatient department, with complaints of off-and-on pain in the right hypochondrium for one and a half years. Her past medical and surgical history was insignificant.

She was haemodynamically stable, and the rest of the systemic examination was unremarkable.

Her baseline investigations, including complete blood picture, liver function tests, renal function tests, and coagulation profile, were within normal range. Her abdominal ultrasound showed cholelithiasis. A plan was made for laparoscopic cholecystectomy under general anaesthesia after taking informed and written  consent.

Her surgery was uneventful. The cystic duct and cystic artery were clipped after establishing a critical view of safety. She remained haemodynamically stable and was discharged from the hospital on the 1st postoperative day. On the 10th postoperative day, she presented with pain and purulent/ bilious discharge from the epigastric port site. She was tachycardic and afebrile. Ultrasound of the abdomen revealed a minimal collection in the gallbladder fossa.

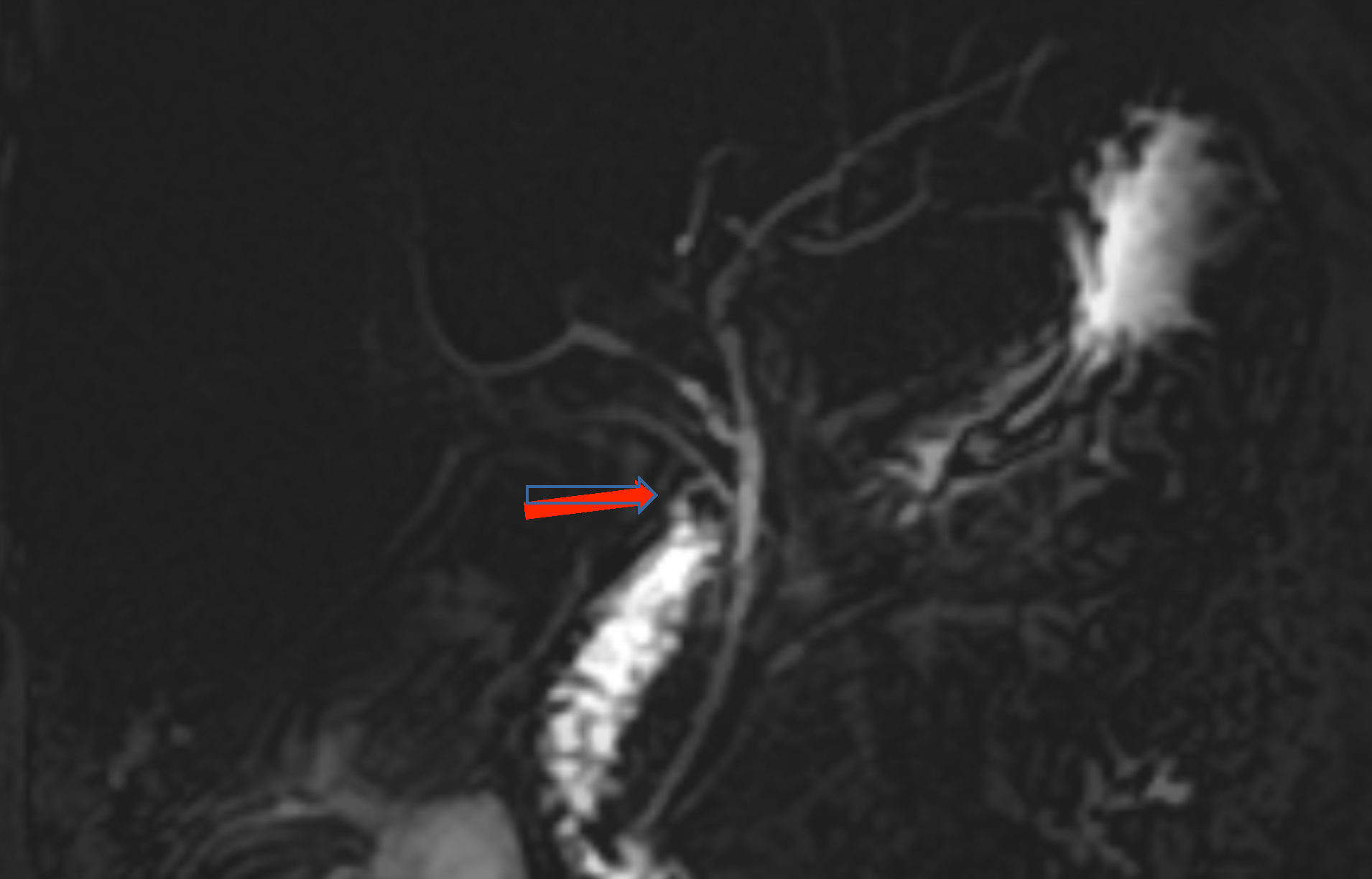
Magnetic Resonance Cholangiopancreatography (MRCP) was done, which showed leakage of bile from the common bile duct (CBD) (Figure 1). There was no bile leak from any other site. A plan for Endoscopic Retrograde Cholangiopancreatography (ERCP) was made, which also showed a side rent in the CBD, and biliary stenting was done. On the second day after ERCP, bile discharge occurred again from the wound. Repeat MRCP showed leakage of bile from a bile duct, which was running in the gallbladder fossa, draining into the common hepatic duct (Figure 2). After describing the situation to the patient and taking informed and written consent, a plan of exploration was made. On re-exploration through the Kocher’s right subcostal incision, three clips were found in the gallbladder fossa with a small collection. There was a leakage of bile from a minor opening in the bile duct running through the liver bed in the gallbladder fossa. This rent was closed with Polydioxanone 5/0 suture. Subhepatic drain was placed, and the abdomen was closed. The postoperative course of the patient remained uneventful with no biliary discharge in the drain, which was removed on the 4th postoperative day, and the patient was discharged in a haemodynamically stable condition.

Figure 1: MRCP showing bile leak from the common bile duct (red arrow).

Figure 2: MRCP showing bile leak from the duct of Luschka draining into the common bile duct (red arrow).

DISCUSSION

Because bile duct anatomical differences are so widespread, they must be evaluated before biliary surgery to prevent damage. The secondary causes of bile leakage are variations in the anatomy of the biliary system.5 They are divided into four categories: the first one is the Luschka duct, which is sometimes called the supravesicular or subvesicular duct; the second category is the cystohepatic canal, also known as the cholecysto- hepatic duct or cystohepatic duct; the third category is seg- mental or sectoral bile duct variants, and the fourth category of variation is aberrant bile ducts.6 To select the best surgical strategy and reduce the chance of problems, it is critical to understand the multiple variations.

Hubert von Luschka, a German anatomist, was the first to describe the channels of Luschka, abnormal biliary channels in the gallbladder bed. There are two varieties of these ducts: type 1 drains straight into the gallbladder, whereas Type 2 runs down the gallbladder bed and empties into the hepatic duct.7

Few case reports are available in the literature where postoperative bile leak from the ducts of Luschka was described. In a case report published in 2022, Garcia et al. described a woman who experienced bile accumulation in the abdomen after laparoscopic cholecystectomy, and that patient had an exploratory laparoscopy, which showed biliary leakage from the Luschka ducts. The duct was sutured, and a drain was placed.8 In a case report from 2019, a 78-year-old man who had an open cholecystectomy for cholelithiasis, experienced a bile leak on the fourth postoperative day. ERCP revealed leakage from the Luschka ducts, but no contrast leak from the cystic duct. A drainage tube and a biliary stent were inserted after sphincterotomy. On the 12th postoperative day, the patient was discharged without any symptoms.9 This case report is the first of its kind where dual sites of bile leak were experienced, both at different times and with different pathologies.

 These anatomical variations are rarely diagnosed preoperatively and intraoperatively. These injuries present from a few days to a few weeks after cholecystectomy.10 The availability of multi- detector CT and MRI, especially with the introduction of MRCP, has made it possible and very accurate to diagnose Luschka leaking ducts without the need for interventional procedures, such as ERCP for diagnostic purposes alone.11 ERCP is a safe and efficient method for identifying and treating bile leakage. But in this case, bile leakage occurred at two different times. First, there was leakage from CBD, which was most probably due to cystic duct clip slippage. It was managed with ERCP stenting. The second event of bile leak happened after three days of ERCP, which was from the duct of Luschka. It was most probably due to the delayed presen- tation of thermal injury that occurred to the Luschka duct during gallbladder dissection during index surgery, for which a bile leak surgical exploration and repair were performed.

When dissecting close to important structures during laparo- scopic cholecystectomy, surgeons should minimise the use of monopolar diathermy. The use of monopolar energy devices heats the tissue significantly. The duration of energy applied and the initial tissue temperature determine the rate of tissue heating and lateral thermal spread.

In conclusion, there are several anatomical variances in the biliary tree. To reduce the danger of bile leakage during cholecystectomy, surgeons should be aware of these variances.

PATIENT’S  CONSENT:
Informed consent was taken from the patient to publish the data concerning this case.

COMPETING  INTEREST:
The  authors  declared  no  conflict  of  interest.

AUTHORS’  CONTRIBUTION:
ASA, FU, AA, HA, MS: Contribution to the design of the work and critical revision of the manuscript.
All authors approved the final version of the manuscript to be published. 

REFERENCES

  1. Gawlik C, Carneval M. A review of the management of bile leaks. Cureus 2021; 13(5):e14937. doi: 10.7759/cureus. 14937.
  2. Nassar AHM, Ng HJ. Risk identification and technical modifi-cations reduce the incidence of post-cholecystectomy bile leakage: Analysis of 5675 laparoscopic cholecystectomies. Langenbecks Arch Surg 2022; 407(1):213-23. doi: 10. 1007/s00423-021-02264-z.
  3. Wilson I, van Boxel GI, Carter NC, Knight BC, Pucher PH, Mercer SJ. Laparoscopy in the management of post-cholecystectomy bile leaks. Surg Open Digest Adv 2023; 11:100103. doi: 10.1016/j.soda.2023.100103.
  4. Humes DJ, Ahmed I, Lobo DN. The pedicle effect and direct coupling: delayed thermal injuries to the bile duct after laparoscopic cholecystectomy. Arch Surg 2010; 145(1): 96-8. doi: 10.1001/archsurg.2009.236.
  5. Carannante F, Mazzotta E, Miacci V, Bianco G, Masciana G, D'Agostino F, et al. Identification and management of subvesical bile duct leakage after laparoscopic chole-cystectomy: A systematic review. Asian J Surg 2023; 46(10):4161-8. doi: 10.1016/j.asjsur.2023.04.031.
  6. Bouhali I, Liang K, Hanscom M, Dawod E, Rizvi A, Wan D, et al. S2361 delayed presentation of bile leak following laparoscopic cholecystectomy: A case report. Am Coll Gastroenterol 2024; 119(10S):S1690-1. doi: 10.14309/ 01.ajg.0001038812.30400.d5
  7. Paramythiotis D, Moysidis M, Rafailidis V, Bangeas P, Karakatsanis A, Kalogera A, et al. Ducts of Luschka as a rare cause of postoperative biloma. MRCP findings. Radiol Case Rep 2019; 14(10):1237-40. doi: 10.1016/j.radcr.2019. 07.008.
  8. Garcia S, Concepcion AM, Wakoff C. Bile leak due to luschka duct injury after laparoscopic cholecystectomy: A case report. Cureus 2022; 14(8):e28427. doi: 10.7759/cureus. 28427.
  9. Li S, Gong S, Cheng N, Wang S. A case report and literature review: A case of delayed bile leakage following laparo- scopic cholecystectomy. J Biosci Med 2024; 12(8):210-7. doi: 10.4236/jbm.2024.128016.
  10. Shakeel O, Haroon M, Khan MI, Ammar AS, Atiq M, Hanif F. The mystery of post-cholecystectomy persistent bile leak: A case report. J Pak Med Assoc 2023; 73(3):671-3. doi: 10.47391/JPMA.4848.
  11. Siiki A, Ahola R, Vaalavuo Y, Antila A, Laukkarinen J. Initial management of suspected biliary injury after laparoscopic cholecystectomy. World J Gastrointest Surg 2023; 15(4): 592. doi: 10.4240/wjgs.v15.i4.592.

     

Copyright © 2025. The author(s); published by College of Physicians and Surgeons Pakistan. This is an open-access article distributed under the terms of the CreativeCommons Attribution License (CC BY-NC-ND) 4.0 https://creativecommons.org/licenses/by-nc-nd/4.0/ which permits unrestricted use, distribution, and reproduction in any medium, provided the original work is properly cited.