SUBMIT YOUR MANUSCRIPT

VOLUME 3, YEAR 2025

  Case Report     2025  

Lichenoid Pseudovesicular Papular Eruption on Nose (LIPEN): A Case Report

By Ayesha Zahir, Sadaf Ahmed Asim, Madiha Sajid

Affiliations

  1. Department of Dermatology, Dow University Hospital, Ojha Campus, Karachi, Pakistan

ABSTRACT
Papules located over the face have a wide range of differential diagnoses. Differentiation on clinical grounds is often difficult requiring histopathological correlation. Despite diagnostic and therapeutic advancements in dermatology, certain conditions continue to pose diagnostic challenges. We present a case of a middle-aged female patient exhibiting papules and pseudo-vesicles in the centrofacial region, with histopathological findings indicative of lichenoid disorder. She was diagnosed as a case of lichenoid pseudovesicular papular eruption on the nose (LIPEN), a term that has not been well-explained previously in the literature. The term LIPEN was first proposed by Singh et al. in 2019 after presenting a case series of 11 patients. It could be a variant of actinic lichen nitidis or polymorphic light eruption but further studies are required to determine its nosological position.

Key Words: Facial papules, LIPEN, Pseudo-vesicles.

INTRODUCTION

Facial papules are one of the common clinical presentations in dermatology. The underlying cause can be infective, inflammatory, granulomatous, actinic, or tumour-related.1 Lichenoid pseudovesicular papular eruption on nose (LIPEN) presents as asymptomatic, papular pseudovesicular lesions located over nose, malar region, and upper lip commonly.2 Histopathology shows lichenoid changes along with heavy lymphocytic infiltrate which can imitate other lichenoid disorders. It is a newly described entity of an unknown aetiology which is seen predominantly in Fitzpatrick skin type 4 and has not been reported outside India.1-3

We present a case of a middle-aged female patient exhibiting papules and pseudo-vesicles in the centrofacial region, with histopathological findings indicative of lichenoid disorder. She was diagnosed as a case of LIPEN.

CASE  REPORT

A 40-year female, with no known comorbidities and Fitzpatrick skin type 4, presented with asymptomatic papules on the face for the past six months. She experienced mild erythema over these papules after sun exposure, but no association with itching, pain, hyperhidrosis, or change in size with heat or cold was reported. Medication and occupational histories were insignificant.

On examination, multiple, monomorphic, skin coloured-to- hyperpigmented, micropapules, and pseudo-vesicles were present over the centrofacial region (Figure 1). The rest of the cutaneous and systemic examinations were unremarkable.

Figure 1: Multiple tiny pseudo-vesicular papules over the nose and upper lip.

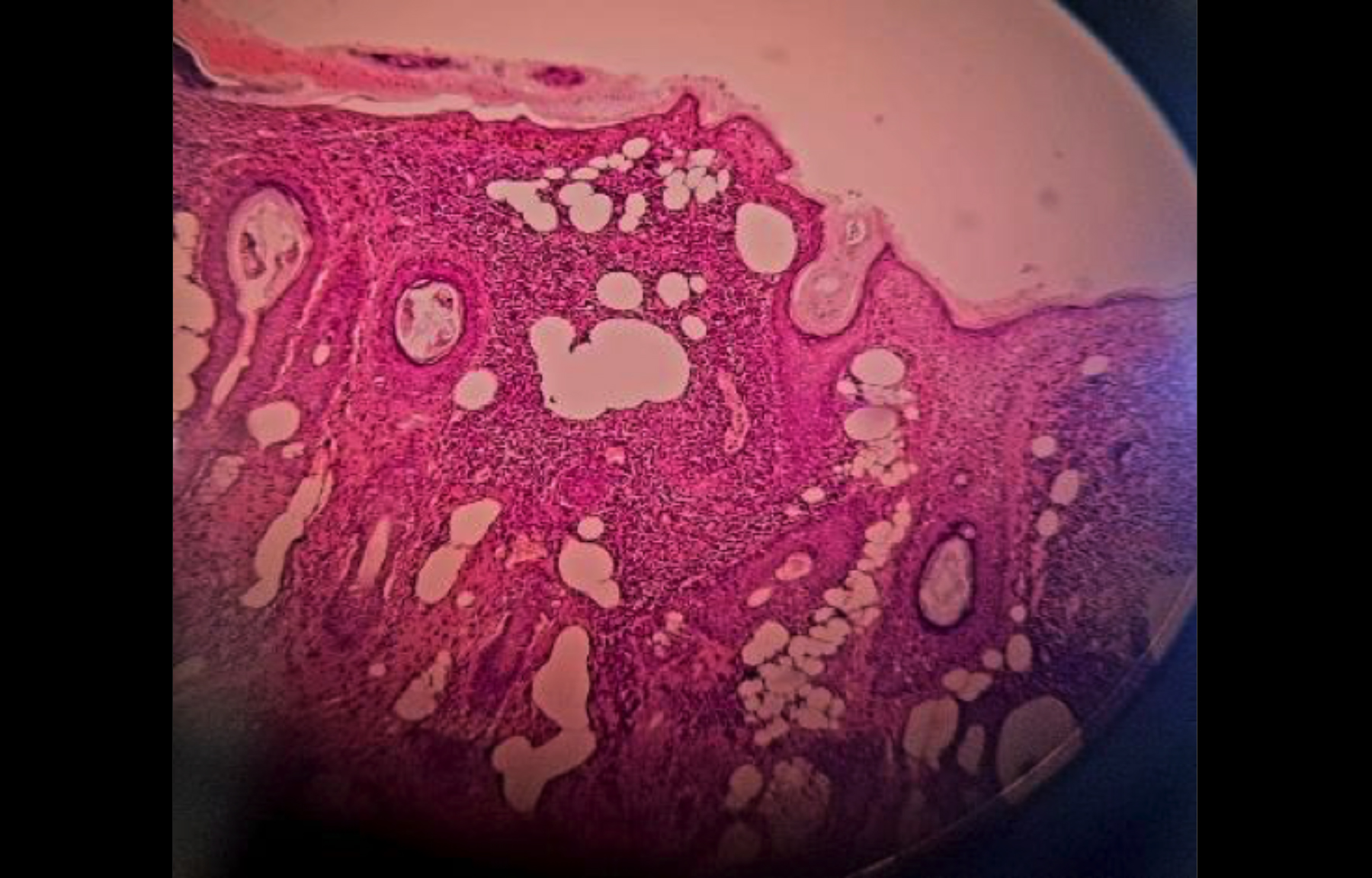
Figure 2: Histopathology image showing heavy lymphocytic infiltrate in the upper dermis.

Table I: Comparison of LIPEN with other differential diagnoses.

Differential diagnosis

Classic clinical features

Classic histological features

Dermoscopic findings

Granulosis Rubra nasi

Papules or vesicles, hyperhidrosis, erythema.

Eccrine duct dilatation.

Discrete round-to-oval pink and red structure with less area and absence of vascular structures.

Rosacea

Papules on the central face with erythema, telangiectasia, and flushing.

Mixed / lymphocytic perifollicular infiltrate, perifollicular granulomas in some cases.

Presence of linear vessels characteristi-cally arranged in a polygonal network.

Sarcoidosis

Discrete dome-shaped, skin coloured to erythematous, papules.

Non-caseating, lymphocyte-poor, epithelioid cell granulomas in dermis.

Multiple arborising vessels over yellow-orange globular structures and scarred areas.

LMDF

Red-to-yellow-to-brown papules on the central face with potential eyelid involvement.3

Caseating epithelioid cell granulomas with lymphohistiocytic cells and multinucleated giant cells in dermis.

Perifollicular structure less yellow-orange areas with keratotic plugs.

Micropapular polymorphic light eruption

Micro papules at photo- exposed sites.

Hyperkeratosis, spongiosis, dense dermal perivascular lymphocytic infiltrate.

Ring-shaped scales.

LIPEN

Micro papules and pseudo vesicles over centrofacial region.

Flattening of epidermis, basal layer vacuolar alteration, pigment incontinence and a heavy lymphocytic infiltrate in the upper dermis.

Grey-brown dots and globules around eccrine and follicular openings, pseudo-reticular network, background erythema, and follicular plugs.

LIPEN, Lichenoid pseudovesicular papular eruption on the nose; LMDF: Lupus miliaris disseminatus faciei.

Initially, our differentials were granulosis rubra nasi, micro- papular polymorphic light eruption (PLE), papular sarcoidosis, rosacea, and lupus miliaris disseminatus faciei (LMDF). Table I shows a comparison of our case with other differential diagnoses.

A standard 4mm skin punch biopsy was done. Histopathology revealed flattening of the epidermis, basal layer vacuolar alteration, pigment incontinence, and a heavy lymphocytic infiltrate in the upper dermis (Figure 2). Immunohistochemical markers for CD20, CD3, CD4, and CD8 showed a reactive pattern with low Ki-67. Phototesting was not done due to non-availability. Based on clinical presentation, histopathological findings, and literature review, this case was congruent with the classical presentation of a rare newly described entity, LIPEN.

Owing to the rarity of this condition, literature is deficient regarding the treatment options. Topical tacrolimus, oral hydroxychloroquine, and doxycycline have been used in a few cases, but their long-term efficacy requires further validation. We treated our patient with tacrolimus ointment 0.1% and sunscreen. Moderate clinical improvement was noted after one month marked by flattening of papules and resolution of erythema.

DISCUSSION

LIPEN is a newly described form of papular facial dermatosis with typical clinical and histopathological features.4 It is more common in young to middle-aged people with Fitzpatrick skin type 4 and has no gender predilection.5 It presents as grouped, erythematous, or skin-coloured, shiny, monomorphic, flat- topped pseudo-vesicles, or papules. The clinical manifestations range from asymptomatic presentations to symptomatic cases characterised by pruritus, erythema, and sweating on sun exposure. The common sites of involvement are the nose, adjacent cheeks, philtrum, and forehead.1 In a case series of 11 patients, Singh et al. described LIPEN ruling out the common differentials of facial papules such as granulosis rubra nasi, rosacea, sarcoidosis, LMDF, Jessner’s lymphocytic infiltrate, and others.1 Jassi et al., in another case series of four patients, supported the same entity.2

The exact aetiopathogenesis of the disease remains unknown.5 Photoaggravation was noted in some patients suggesting that the disease may be related to the actinic form of lichen planus (LP) or micropapular variant of PLE.6 The disease may exhibit seasonal variation, with partial remission observed in a few cases during winters.5

Lichenoid skin disorders are a group of diseases with histopathological features similar to LP. The differentials of lichenoid disorders affecting the face include LP, actinic LP, lichen nitidus, lichenoid medicine eruption, lichenoid graft vs. host disease, and discoid lupus erythematosus.1 But none of these disorders clinically present as pseudovesicles. Histopathology of LIPEN shows focal, heavy lymphocytic infiltrate in the upper dermis with basal layer degeneration and thinning of the epidermis.7 The pseudovesicular appearance of the lesions could be due to epidermal atrophy, but the exact cause remains obscure.2 The special stains, including Ziehl–Neelsen, Alcian blue, and periodic acid–Schiff did not provide additional information.1

Immunohistochemistry (IHC) may play an important role in understanding the pathogenesis and further classification of the disease. IHC markers in our patient showed reactivity to B-cell (CD20) and T-cell (CD3, CD4, and CD8) markers, but unfortunately literature review could not provide more details except for CD3 and CD20 reactivity.1 This dual reactivity to B-cells and T-cells complicates its classification, highlighting the need for further research.

Dermoscopy may reveal multiple grey-brown dots and globules more concentrated around eccrine and follicular openings, pseudoreticular network, background erythema, follicular plugs, and scaling.5

The combination of these distinctive histopathological, dermoscopic, and clinical features collectively establishes LIPEN as a separate clinical entity.

LIPEN runs a benign but chronic course with partial or complete resolution. Based on the literature review, treatment options include sunscreen, topical tacrolimus 0.1%, oral hydroxychloroquine 400 mg per day, and oral doxycycline 100 mg twice daily. The response to topical tacrolimus has been moderately favourable thus far.1 However, longer follow-up visits and more detailed IHC, photo testing and immunofluorescence are required in establishing the disease aetiology and management.1,6,7

In conclusion, LIPEN is still an incompletely understood entity. It could be a variant of actinic lichen nitidis or PLE but further studies are required to determine its nosological position.

PATIENT’S CONSENT:
Informed consent was taken from the patient.

COMPETING INTEREST:
The authors declared no conflict of interest.

AUTHORS’ CONTRIBUTION:
AZ: Conception of the work, collection of data, literature review, and writing of the manuscript.
SAA: Analysis of data and critical revision.
MS: Conception of the work, literature research, and revising the manuscript critically for important intellectual content.
All authors approved the final version of the manuscript to be published.

REFERENCES

  1. Singh S, Singh A, Mallick S, Arava S, Ramam M. Lichenoid pseudovesicular papular eruption on nose: A papular facial dermatosis probably related to actinic lichen nitidus or micropapular polymorphous light eruption. Indian J Dermatol Venereol Leprol 2019; 85(6):597-604. doi: 10.4103/ijdvl.IJDVL_347_18.
  2. Jassi R, Singh S, Sharma T, Kaur M, Patra S. Lichenoid pseudovesicular papular eruption on nose through the dermatoscope. Indian J Dermatol Venereol Leprol 2022; 88(5):660-4. doi: 10.25259/IJDVL_607_2021.
  3. Slater N, Sathe NC, Rapini RP. Lupus miliaris disseminatus faciei. StatPearls [Internet]. Updated 2024 Jan 10]. Available from: httpss://www.ncbi.nlm.nih.gov/books/NBK559065/.
  4. Gupta I, Kaur L, Bansal A, Dayal S, Kumar S. Lichenoid pseudovesicular papular eruption on the nose with dermoscopic features: A case series. Dermatol Pract Concept 2023; 13(4):e2023217. doi: 10.5826/dpc.1304a217.
  5. Saini S, Agarwal S, Kumar R. Dermoscopic features of lichenoid pseudovesicular papular eruption of the nose (LIPEN): A rare entity. Indian Dermatol Online J 2023; 14(2):259-62. doi: 10.4103/idoj.idoj_208_22.
  6. Mohanty P, Panda DR, Samal SR, Samal K. Lichenoid pseudovesicular papular eruption on nose: A rare distinct entity. Indian J Dermatol 2022; 67(5):627. doi: 10.4103/ijd. ijd_245_21.
  7. Bains A, Beniwal R, Vedant D, Elhense P. Dermoscopy of "lichenoid pseudovesicular papular eruption on nose". Indian Dermatol Online J 2021; 12(6):950-1. doi: 10.4103/ idoj.IDOJ_865_20.

Copyright © 2025. The author(s); published by College of Physicians and Surgeons Pakistan. This is an open-access article distributed under the terms of the CreativeCommons Attribution License (CC BY-NC-ND) 4.0 https://creativecommons.org/licenses/by-nc-nd/4.0/ which permits unrestricted use, distribution, and reproduction in any medium, provided the original work is properly cited.