SUBMIT YOUR MANUSCRIPT

VOLUME 3, YEAR 2025

  Case Report     2025  

Pancreatic Tuberculosis: An Unusual Site for a Common Illness

By Shahid Sarwar1, Muhammad Moeed Akram2, Sabeen Farhan3, Ghulam Abbas1, Yasir Mahmud2

Affiliations

  1. Department of Medicine and Gastroenterology, Allama Iqbal Medical College, Jinnah Hospital, Lahore, Pakistan
  2. Department of Gastroenterology and Medical Unit 1, Jinnah Hospital, Lahore, Pakistan
  3. Department of Internal Medicine, Shaukat Khanum Memorial Cancer Hospital and Research Centre, Lahore, Pakistan

ABSTRACT
Tuberculosis (TB) of the pancreas is a rare form of extra-pulmonary tuberculosis that needs a high index of clinical suspicion and in most cases is wrongly diagnosed as pancreatic carcinoma due to the presence of space-occupying lesions in the majority of these patients. Hence, diagnosis of pancreatic TB is unfortunately mostly confirmed postoperatively on histopathology of the resected pancreas, which may now be avoided with endoscopic ultrasound (EUS) or CT-guided biopsy. We are reporting a case of a young healthy man who presented with low-grade fever and weight loss and his work-up revealed a space-occupying lesion in the head of the pancreas. He was diagnosed with necrotising granuloma on fine needle aspiration cytology (FNAC) which was confirmed to be tuberculous in aetiology with positive culture for Acid Fast Bacilli (AFB). The patient was treated with an anti-tuberculous treatment regimen resulting in relief of symptoms with cure of disease. Clinical suspicion and use of EUS-guided FNAC can save patients from undue major surgery and ensure a cure with timely treatment.

Key Words: Fever, Pancreas, Tuberculosis.

INTRODUCTION

Tuberculosis (TB), caused by Mycobacterium tuberculosis, is a leading infectious disease killer after COVID-19. According to the World Health Organisation (WHO), around 10.6 million new cases were diagnosed in the year 2022 and 1.3 million patients died due to TB in the same year.1 Lungs are the most common organ afflicted, only 12.5% of cases develop extra-pulmonary TB and 11-16% of these extra-pulmonary cases are in the abdomen where the intestine, liver, spleen, or kidneys are mostly targeted by this organism.2 TB of the pancreas is largely unknown. Diagnosis is mostly delayed due to atypical clinical manifestations and non-availability of endoscopic ultrasound (EUS) or CT-guided histological diagnosis.3 We are reporting an unusual case of pancreatic TB who presented with fever and was found to have a mass in the pancreas on CT scan which, following fine needle aspiration cytology (FNAC) was diagnosed to be due to TB.

 

CASE  REPORT

A 26-year man presented in the outpatient clinic with the complaint of fever for two months. It was high-grade and intermittent for the initial one month, used to settle with antipyretic medications with relapse in 1-2 days. For the last one month, fever had been low-grade with evening rise, not needing any treatment. There were no associated symptoms such as cough, abdominal pain, bowel habit alteration, or headache. He lost 7 kg weight within two months.

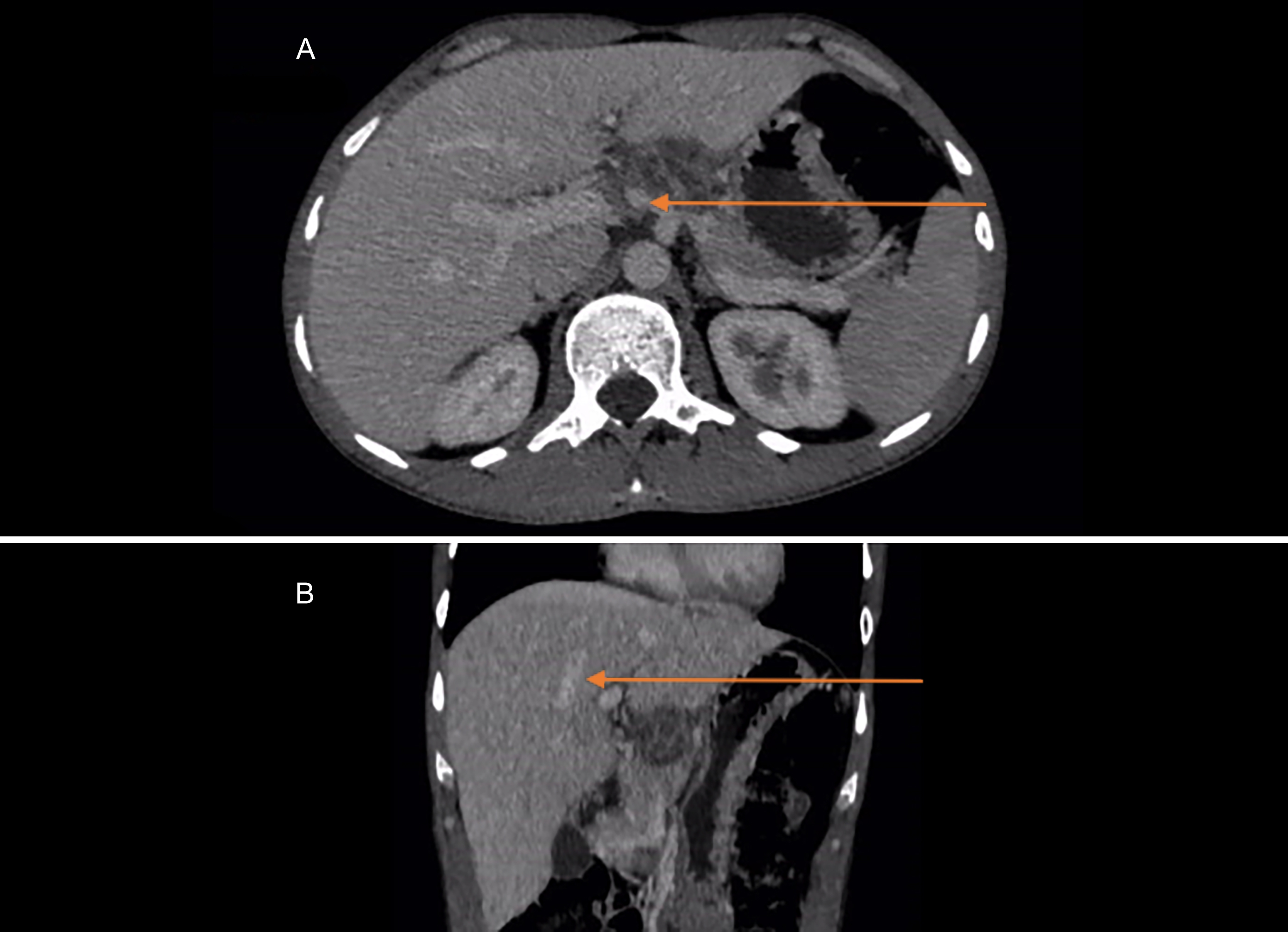
The clinical examination was normal with no visceromegaly or lymphadenopathy. The initial work-up revealed a drop in haemoglobin to 11 g/dl from 15.5 g/dl, reported 3 months before the onset of fever with a normochromic normocytic picture on peripheral smear. Total leucocyte count (TLC) and platelets were in the normal range. Liver function tests, renal profile, and thyroid profile were normal. The blood culture was also negative. However, on ultrasound abdomen, a solid-looking and well-defined mass of 3.5 × 2.3 × 1.7 cm was noted in the head and neck of the pancreas. Abdominal CT scan revealed a multiseptated mixed consistency lesion of 3.5 × 3.1 cm in the pancreatic body projecting in the gastro-hepatic recess, closely abutting adjacent hepatic capsule with marginal neovascularity, and prominent aortocaval necrotic lymph nodes. No visceral metastasis was identified (Figure 1). The patient was listed for an EUS examination. The presence of a heterogenous lesion adjacent to the pancreatic neck was confirmed with no vascular involvement and fine needle aspiration cytology (FNAC) was obtained for diagnosis (Figure 2). Cytology of FNAC sample revealed aggregates of epithelioid histiocytes and few lymphocytes with necrosis suggestive of caseating granuloma. Mycobacterium Tuberculosis was isolated in culture after three weeks. The patient was started on anti-tuberculous medications and his symptoms settled two weeks after starting treatment. He is on regular follow-up in outpatient clinic for compliance and continuation of treatment for one year.

Figure 1: CT scan of abdomen showing a heterogenous mass in the pancreatic body (Arrow) extending into the gastro-hepatic recess in cross-sectional (A), and sagittal sectional view (B).

Figure 2: (A) Pancreatic mass on endoscopic ultrasound (EUS). (B) Fine needle aspiration cytology (FNAC) being performed.

DISCUSSION

Pancreatic TB is one of the rare forms of this infection which is only recently being reported in literature, due to availability of better diagnostic modalities allowing confirmation of diagnosis before undue surgery. Due to retroperitoneal location and presence of digestive enzymes, TB of the pancreas is reported only in immunocompromised individuals in literature,4 however, we are reporting it in a young patient with no comorbid illness.

Patients with pancreatic TB usually develop non-specific symptoms. Ray et al. identified that the most common symptom is epigastric pain (80%), followed by fever (75%), anorexia (69%), weight loss (50%), jaundice (31%), and abdominal mass (25%).5 TB of the pancreas can closely mimic pancreatic tumour with non-specific symptoms and appearance as a mass in the pancreas on imaging modality as was noted in this patient. Prior to the availability of EUS, it was mostly diagnosed on resected specimens following Whipple’s resection for the suspected mass of the pancreas.

Diagnosis of pancreatic TB needs imaging modalities including ultrasound and CT/MRI of abdomen. It appears as a solid mass in 79.5% cases on CT scan or MRI, with nothing specific on imaging to suggest TB.6 EUS is the modality of choice for diagnosis in addition to evaluation of pancreas and peripancreatic structures including lymph nodes and major blood vessels, it allows access for FNAC, which mostly results in conclusive diagnosis.7 In the present patient, necrotising granuloma on FNAC via EUS was highly suggestive of diagnosis. Polymerase chain reaction (PCR) for mycobacterium in aspirated specimens has been reported to have higher accuracy (46-96%) than AFB smear (0-62%) or culture (19-81%).8 However, in this patient, PCR was negative and it was the positive culture for AFB, which confirmed the diagnosis. Mittal et al. suggested that the presence of caseating granuloma and positive culture is adequate for the diagnosis while PCR should only be used for equivocal cases.9

The recommended treatment is with anti-tuberculosis medi-cines, including isoniazid, rifampicin, ethambutol, and pyrazinamide as for any other organ involvement. The recommended duration of treatment is 9-12 months as for other forms of extra-pulmonary TB, especially in highly endemic regions such as ours.10

CONCLUSION

Pancreatic TB is a rare form of mycobacterial infection which should always be considered in patients with non-specific symptoms and those with space-occupying lesions in the pancreas, especially in endemic regions. Diagnosis needs imaging-guided sampling for histopathology, PCR, and culture. Timely diagnosis and treatment can successfully cure this illness.

PATIENT’S  CONSENT:
Informed consent was taken from the patient for the publication of data.

COMPETING  INTEREST:
The authors declared no conflict of interest.

AUTHORS’  CONTRIBUTION:
SS, YM: Conception, design, and drafting of the manuscript.
MMA, SF: Acquisition of data and reviewing for intellectual content.
GA: Interpretation of data and reviewing for intellectual content.
All authors approved the final version of the manuscript and accountable for integrity and accuracy of the content.

REFERENCES

  1. World Health Organization. Accessed on 31st July 2024. Available from: httpss://www.who.int/news-room/fact-sheets/ detail/tuberculosis.
  2. Singhal A, Gulati A, Frizell R, Manning A.P. Abdominal tuberculosis in Bradford, UK: 1992-2002. Eur J Gastro-enterol Hepatol 2005; 17(9):967-71. doi: 10.1097/000 42737-200509000-00013.
  3. Chaudhary P, Bhadana U, Arora MP. Pancreatic tuber-culosis. Indian J Surg 2015; 77(6):517-24. doi: 10.1007/ s12262-015-1318-4.
  4. Abbaszadeh M, Rezai J, Hasibi M, Larry M, Ostovaneh M.R, Javidanbardan S, et al. Pancreatic tuberculosis in an immunocompetent patient: A case report and review of the literature. Middle East J Dig Dis 2017; 9(4):239-41. doi: 10.15171/mejdd.2017.80.
  5. Ray S, Das K, Ghosh R. Isolated pancreatic and peripancreatic nodal tuberculosis: A single‑center experience. Trop Doct 2021; 51(2):203‑9. doi: 10.1177/ 0049475520962941.
  6. Diaconu CC, Gheorghe G, Hortopan A, Enache V, Ceobanu G, Jinga V, et al. Pancreatic tuberculosis-A condition that mimics pancreatic cancer. Medicina (Kaunas) 2022; 58(9):1165. doi: 10.3390/medicina58091165.
  7. Hoilat G J, Abdu M, Hoilat J, Gitto L, Bhutta AQ. A rare case of pancreatic tuberculosis diagnosed via endoscopic ultrasound-guided fine needle aspiration and polymerase chain reaction. Cureus 2020; 12(6):e8795. doi: 10.7759/ cureus.8795.
  8. Arai J, Kitamura K, Yamamiya A, Ishii Y, Nomoto T, Honma T, et al. Peripancreatic tuberculous lymphadenitis diagnosed via endoscopic ultrasound-guided fine-needle aspiration and polymerase chain reaction. Intern Med 2017; 56(9):1049-52. doi: 10.2169/internalmedicine.56.7509.
  9. Mittal P, Handa U, Mohan H, Gupta V. Comparative evaluation of fine needle aspiration cytology, culture, and PCR in diagnosis of tuberculous lymphadenitis. Diagn Cytopathol 2011; 39(11):822-6. doi: 10.1002/dc.21472.
  10. Bharat K, Vijayakumar C, Elamurugan TP, Sundaramurthi S, Jagdish S. Primary pancreatic tuberculosis: A rare case report. Adv Res Gastroenterol Hepatol 2019; 13(2): 555858. doi: 10.19080/ARGH.2019.13.555858.

Copyright © 2025. The author(s); published by College of Physicians and Surgeons Pakistan. This is an open-access article distributed under the terms of the CreativeCommons Attribution License (CC BY-NC-ND) 4.0 https://creativecommons.org/licenses/by-nc-nd/4.0/ which permits unrestricted use, distribution, and reproduction in any medium, provided the original work is properly cited.