SUBMIT YOUR MANUSCRIPT

VOLUME 3, YEAR 2025

  Case Report     2025  

Traumatic Gastropleural Fistula Following Blunt Abdominal Trauma: A Rare Case

By Zoha Maryam, Fatima Tuz Zahra

Affiliations

  1. Department of Diagnostic Radiology, Bahawal Victoria Hospital, Bahawalpur, Pakistan

ABSTRACT
Gastropleural fistula (GPF) is a rare clinical occurrence which involves pathological communication between the stomach and pleural cavity. Formation of GPF can be ascribed to malignancy, infection, or surgery. One of the rare causes of the formation of GPF is blunt abdominal trauma. A 38-year man presented with left-sided chest pain and shortness of breath five days after a high-speed motor vehicle accident. Imaging revealed a left-sided hydropneumothorax. Following chest tube insertion and initiation of oral intake, food particles were noted in the pleural drain output. A barium swallow suggested diaphragmatic rupture and GPF. CT confirmed gastric fundus discontinuity with direct pleural communication. Surgical repair included primary closure of gastric and diaphragmatic defects, chest drainage, and feeding jejunostomy. The patient recovered fully without recurrence.

Key Words: Gastropleural fistula, Thoracic injuries, Stomach rupture, Diagnostic imaging.

INTRODUCTION

Gastropleural fistula (GPF) represents a rare clinical entity involving a communication between the stomach and pleural cavity. It is usually secondary to surgical interventions, malignancies, infections, or peptic ulcer disease. Traumatic causes, especially from blunt abdominal trauma, are exceedingly rare with limited cases in the literature.1 Given the nonspecific clinical presentation, a high index of suspicion is essential for diagnosis.2 This report sets forth a peculiar case of traumatic GPF which presented in emergency, was diagnosed via imaging and managed surgically.

CASE  REPORT

A 38-year previously healthy male with no comorbidities landed in medical emergency five days after a high-speed road traffic accident with sudden onset of shortness of breath and left-sided chest pain. The patient was haemodynamically stable.

Upon examination, reduced breath sounds and a dull percussion note was observed on the left hemithorax. There were no visible injuries.

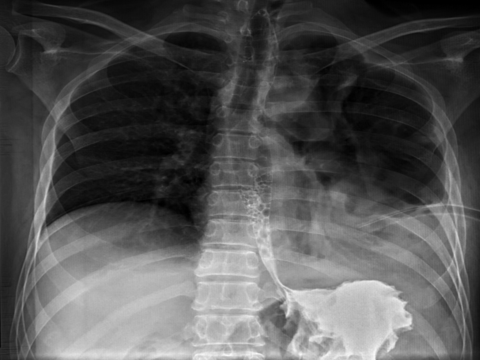
Figure 1: Preoperative barium swallow demonstrating contrast leakage from the stomach into the subdiaphragmatic space and pleural cavity.

There was mild leucocytosis on laboratory investigations. A chest radiograph was immediately performed, which unveiled left-sided hydropneumothorax with mediastinal shift.

Initial clinical improvement was noted following chest tube insertion. However, soon after initiation of oral feed, food particles were noted in the drain. Barium swallow suggested GPF and diaphragmatic rupture (Figure 1). Computed tomography (CT) of the chest and abdomen revealed a large left pleural collection with air-fluid levels, discontinuity in the gastric fundus, and direct communication with the pleural space (Figure 2). No other intra-abdominal injuries were seen.

The defect was repaired surgically via laparotomy. Primary repair of rupture of gastric fundus and diaphragm was performed along with establishment of feeding jejunostomy and continued pleural drainage. Postoperative trajectory was smooth. Postoperative barium swallow was performed, which revealed resolution of fistulous communication and normal opacification of the stomach (Figure 3). Patient was discharged 10 days later. He was recovered completely with no sequelae.

DISCUSSION

GPF is a rare but potentially life-threatening condition characterised by an abnormal communication between the stomach and the pleural cavity. Although the majority of GPF cases are iatrogenic, resulting from surgical or endoscopic procedures, or secondary to malignancies, infections, or gastric ulcers, traumatic GPFs are extremely uncommon. Among traumatic causes, blunt abdominal trauma is particularly rare and poses unique diagnostic and therapeutic challenges.3

Figure 2: Preoperative CT with oral contrast only: coronal and axial CT demonstrated oral contrast in pleural space (red arrow), identification of a diaphragmatic defect (yellow arrow) with associated herniation of the stomach into pleural space, consistent with gastropleural fistula.

Figure 3: Postoperative barium swallow showed complete resolution of fistulous communication and normal opacification of the stomach.

The mechanisms of traumatic GPF formation typically involve either a direct gastric perforation or a diaphragmatic rupture, which allows the herniation of abdominal contents such as the stomach into the thoracic cavity. Subsequent ischaemia and necrosis of the herniated gastric tissue can lead to perforation and fistula formation. In this specific case, it is believed that a sudden increase in intra-abdominal pressure following blunt trauma led to a rupture of the left diaphragm along with a perforation of the gastric fundus. This resulted in the formation of a fistula between the stomach and the pleural space.4,5

Clinically, diagnosis can be quite challenging due to the non- specific nature of symptoms. However, key diagnostic clues include the presence of a hydropneumothorax, food particles or gastric contents in chest drainage, and signs of gastrointestinal-pulmonary communication on imaging. CT is considered the gold standard imaging modality for diagnosis as it provides detailed information about diaphragmatic integrity, gastric wall defects, and associated complications.4-7

Surgical intervention remains the mainstay of the treatment. It typically involves repair of the diaphragmatic defect and closure of the gastric perforation, sometimes necessitating resection.4-7 Surgical repair of the GPF is performed via a thoracoabdominal approach. Intraoperatively, fistulous communication between the gastric fundus and pleural cavity is identified. The fistula is excised, and the gastric defect is repaired in two layers. Decortication and drainage of the pleural cavity are carried out. An intercostal chest drain is usually placed, and postoperative recovery is supported with nutritional supplementation and antibiotics. Prompt diagnosis and management are essential to prevent severe complications such as empyema, sepsis, respiratory failure, and prolonged hospitalisation. Given the rarity of the condition, each case provides valuable insight into potential mechanisms and treatment approaches.

PATIENT’S  CONSENT:
Informed  consent  was  taken  from  the  patient.

COMPETING  INTEREST:
The  authors  declared  no conflict  of  interest.

AUTHORS' CONTRIBUTION:
ZM: Designing, drafting, and critical revision of the manuscript.
FTZ: Drafting and critical revision of the manuscript.
Both authors approved the final version of the manuscript to be published.

REFERENCES

  1. O’Regan P, O’Driscoll S, Murphy S, Halpin J, Wallis F. Case report: Post-traumatic gastropleural fistula. Combined Spring Meeting, Faculty of Radiologists, Royal College of Surgeons in Ireland, 2021. Available from: httpss://www. researchgate.net/publication/373158306_Case_Report_PostTraumatic_Gastropleural_Fistula.
  2. Chan KY, Keogh S, Aucharaz N, Temperley H, O'Driscoll J, Ravi N, et al. Delayed gastropleural fistula: A rare cause of a persistent pleural effusion after blunt force trauma. J Surg Case Rep 2021; 2021(4):rjab117. doi: 10.1093/jscr/rjab 117.
  3. Polyakov IS, Kovalenko AL, Petrovsky AN, Akobyan AV, Porhanov VA. The rare thoracic complication: Perforation of gastric fundus ulcer: A case report. J Med Case Rep 2022; 16(1):472. doi: 10.1186/s13256-022-03684-1.
  4. Lai CC, Huang HC, Chen RJ. Combined stomach and duodenal perforating injury following blunt abdominal trauma: A case report and literature review. BMC Surg 2020; 20(1):217. doi: 10.1186/s12893-020-00882-w.
  5. Siddiqui A, Ayad S, Hussain MI, Chaudhry S. Gastropleural fistula: A rare complication of laparoscopic sleeve gastrec-tomy. J Surg Case Rep 2020; 2020(6):rjaa130. doi: 10. 1093/jscr/rjaa130.
  6. Terada T, Nakanuma Y. Gastropleural fistula caused by gastric carcinoma. Pathol Int 2000; 50(10):845-8. doi: 10.1046/j.1440-1827.2000.01109.x.
  7. Kara E, Deniz K, Aksoy F, Bozkurt S. A rare complication of a gastric ulcer: Gastropleural fistula. Acta Gastroenterol Belg 2007; 70(3):336-7.

Copyright © 2025. The author(s); published by College of Physicians and Surgeons Pakistan. This is an open-access article distributed under the terms of the CreativeCommons Attribution License (CC BY-NC-ND) 4.0 https://creativecommons.org/licenses/by-nc-nd/4.0/ which permits unrestricted use, distribution, and reproduction in any medium, provided the original work is properly cited.