SUBMIT YOUR MANUSCRIPT

VOLUME 3, YEAR 2025

  Case Report     2025  

Two Cases of IgA Nephropathy in Patients Receiving Infliximab for Crohn's Disease

By Zhuohan Xu1, Lingzhi He2

Affiliations

  1. Department of Nephrology, The First Clinical Medical College of Zhejiang Traditional Chinese Medical University, Zhejiang, China
  2. Department of Nephrology, The First Affiliated Hospital of Zhejiang Chinese Medical University, Zhejiang, China

Abstract
IgA nephropathy (IgAN) represents the most widespread type of primary glomerulonephritis across the globe, notable for the deposition of IgA within the glomerular mesangial region. Infliximab, a monoclonal antibody developed to precisely target tumour necrosis factor alpha (TNF-α), has received approval for use in the management of Crohn's disease (CD). However, recent studies have demonstrated TNF-α inhibitors as a potential cause of IgAN. The authors, hereby, report two cases of IgAN secondary to infliximab. Both patients, with a history of CD, had developed renal dysfunction after infusion of infliximab. Renal biopsy revealed IgAN with tubulointerstitial injury. Following the discontinuation of infliximab, the patients were administered methylprednisolone, which led to remission in IgAN. Considering the increasing use of anti-TNF-α therapies, the present study highlights the essential requirement for continuous and meticulous monitoring of renal function, proteinuria, and auto-antibodies throughout the treatment period.

Key Words: IgA nephropathy, Crohn’s disease, Infliximab, Tumour necrosis factor-α.

Introduction

IgA nephropathy (IgAN) is among the most commonly encountered types of primary glomerulonephritis, characterised by the occurrence of haematuria.1 However, some autoimmune diseases can also cause secondary IgAN. Crohn's disease (CD) is a chronic inflammatory disorder distinguished by inflammation that extends through all layers of the gastrointestinal tract. Infliximab, a monoclonal antibody targeting tumour necrosis factor-alpha (TNF-α), has been granted regulatory approval for the management of CD. The administration of TNF-α inhibitors has been linked to a higher occurrence of autoimmune disorders.2 There have been reports that TNF-α inhibitors can lead to the development of IgAN in patients with CD.3 Herein, we describe two cases of IgAN as a complication of infliximab.

CASE 1:

A 53-year woman was diagnosed with CD in June 2016. She discontinued the treatment after receiving 12 infusions of infliximab at the dose of 5 mg/kg. In January 2019, she presented with worsening diarrhoea and was diagnosed with a relapse of CD, so the patient started an eight-weekly infliximab course at the dose of 6 mg/kg. At that time, her creatinine level was 49 µmol/L.

Figure 1: (A) Immunofluorescence shows diffuse deposition of IgA (+++) in the mesangial area (×200). (B) Immunofluorescence shows deposition of C3 (+++) in the mesangial area (×200). (C) Light microscopy shows cellular crescent formation, interstitial oedema with focal inflammatory cell infiltration, and granular-vacuolar degeneration in tubular epithelial cells (PAS, ×400). (D) Electron microscopy shows electron-dense deposits in the mesangial areas (EM, ×5000).

In May 2020, she presented macroscopic haematuria and elevated serum creatinine of 110 µmol/L. However, eight weeks later, her serum creatinine decreased to 76 µmol/L, and haematuria disappeared without special treatment. However, she was referred to the Nephrology Unit with acute Kidney Injury (AKI) and macroscopic haematuria after an infusion of infliximab at the dose of 6 mg/kg in December 2020. Urinalysis at the time showed proteinuria of 6.39 g/d. Laboratory examinations showed significant increases in serum creatinine (302 µmol/L). The estimated glomerular filtration rate (eGFR) was 14.97 mL/min/1.73m2. Anti-double-stranded DNA (anti-dsDNA) antibodies were 53.34 RU/mL. Anti-proteinase 3 (anti-PR3) antibodies were 18.74 RU/mL. Anti-myeloperoxidase (anti-MPO) antibodies were 3.27 RU/mL. Anti-glomerular basement membrane (anti-GBM) antibodies were 55.87 RU/mL. The patient underwent a percutaneous kidney biopsy (Figure 1). Based on these results, the patient was diagnosed as IgAN with acute tubulointerstitial injury. She was given oral methylprednisolone at a dose of 0.8 mg/kg/d for one month, then tapered by 4 mg every two weeks. Over three months, the patient’s proteinuria continued to drop (1.68 g/d), and renal function improved (eGFR 77.09 mL/min/1.73m2). Subsequently, the patient was started on induction and maintenance vedolizumab therapy.

CASE 2:

A 22-year male was referred to the Nephrology Unit in September 2021, for AKI after recent two infusions of infliximab. He was diagnosed with CD in February 2019 and received 16 infliximab injections at the dose of 5 mg/kg. Urinalysis revealed haematuria 3+ and proteinuria 1.26 g/d.

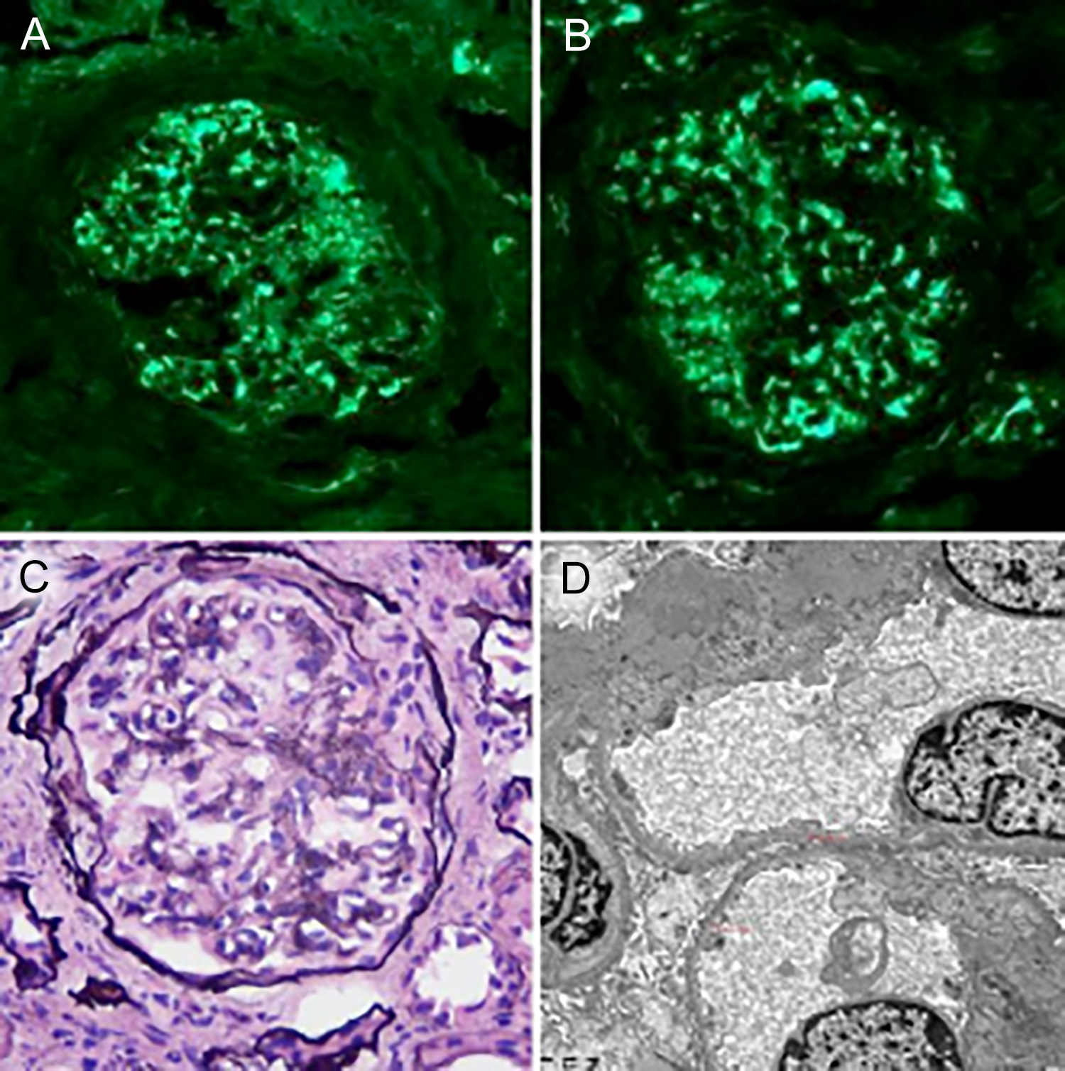
Figure 2: (A) Immunofluorescence shows diffuse deposition of IgA (+++) in the mesangial area (×200). (B) Immunofluorescence shows deposition of C3 (+++) in the mesangial area (×200). (C) Electron microscopy shows electron-dense deposits in the mesangial areas and segmental subendothelial deposits (EM, ×5000). (D) Light microscopy shows fibrocellular crescent formation, granular degeneration, cytoplasmic vacuolisation of tubule epithelial cells, and focal inflammatory cell infiltration in renal interstitium (PAS, ×400).
 

Laboratory examinations found serum creatinine of 144 µmol/L, eGFR of 55.11 mL/min/1.73m2, and serum albumin of 35.7 g/L. Anti-PR3 antibodies were 3.34 RU/mL, anti-MPO antibodies, 3.13 RU/mL, anti-GBM antibodies, 2.07 RU/mL, and anti-dsDNA antibodies, 59.56 RU/mL. ANAs were positive (1:80). Interleukin (IL)-6 was 4.12 pg/ml. His serum creatinine increased from 93 to 144 µmol/L after infusions of infliximab. To help with diagnosis, a kidney biopsy was carried out (Figure 2). Based on these results, the patient was diagnosed as IgAN with acute and chronic renal tubulointerstitial injury. Following treatment with intravenous methylprednisolone at a dose of 0.8 mg/kg per day for nine consecutive days, he was switched to oral methylprednisolone at the same dose of 0.8 mg/kg per day for an additional five weeks, and then the dosage was gradually reduced by 4 mg every two weeks. After seven weeks, the patient’s renal function remained stable with an eGFR of 92.08 mL/min/1.73m2, and proteinuria of 0.30 g/d. Given this improvement, he received vedolizumab to manage CD on the advice of his treating gastroenterologist.

Discussion

The onset of IgAN has been associated with various inflammatory diseases such as inflammatory bowel disease (IBD).4 Studies have indicated that there might be a related pathogenesis between IBD and IgAN, especially in patients with CD.5 Monoclonal anti-TNF-α antibodies have been widely used in the treatment of CD. The authors have reported two cases of IgAN most likely caused by infliximab as these two patients’ renal function improved significantly on cessation of infliximab. According to recent reports, IgAN would only occur in the context of active bowel disease.6 Because our patient's CD was stable, CD is unlikely to be the cause of IgAN.

IgAN in the setting of prolonged exposure to TNF-a inhibitors is a rare adverse event but well documented in the rheumatologic literature.7 Gastroenterologists may often overlook mild IgAN associated with anti-TNF-a therapy. Several reports indicated that IgAN might be an extremely rare complication of TNF-α therapy in IBD patients.3,6,8 The exact pathophysiological mechanisms of IgAN associated with anti-TNF-α therapy are unclear, but some hypotheses exist. IgAN is characterised by higher proportions of circulatory TH2 cells, and several studies suggest that anti-TNF-α therapy induces a shift from a TH1 pattern to a TH2 pattern, promoting the activation of antibody-mediated immune mechanisms.9,10 Elevation of IL-6 in the present male patient may support this theory as TH2 cells produce IL-6. Another hypothesis is based on the assumption that anti-TNF-α therapy could induce apoptosis by reducing the expression of CD44, increasing the release of antigens, and thus promoting the formation of antibodies directed against DNA and other nuclear antigens.11 In the present cases, both patients showed varying levels of elevated anti-dsDNA and anti-neutrophil cytoplasmic antibodies. In addition, it is suggested that reduced glycosylation of IgA1 molecules may occur in patients who develop IgAN after administration of anti-TNF-α agents.12 Anti- drug antibodies against glycans of the heavy chains of TNF-α inhibitors may cross-react with glycans on IgA1 molecules to form large antigen-antibody complexes. These polymeric IgA complexes may deposit in the renal mesangium and induce local complementary activation.

In conclusion, IgAN in the setting of prolonged exposure to TNF-a inhibitors is a rare adverse event. The present cases highlight the importance of monitoring renal function, proteinuria, and autoantibodies in patients treated with anti-TNF-α agents, as IgAN is an increasingly recognised adverse effect of TNF-a inhibitors.

Funding:
This work was supported by the programme of the Zhejiang Chinese Medicine Science and Technology (2023ZL386).

PATIENTS’  CONSENT:
Informed consent was obtained from the patients.

COMPETING  INTEREST:
The  authors  declared  no  conflict  of  interest.

AUTHORS’  CONTRIBUTION:
ZX: Conceived the design, interpretation of the data, and drafting.
LH: Designed  the  study.
Both authors approved the final version of the manuscript to be published.

References

  1. Hassler JR. IgA nephropathy: A brief review. Semin Diagn Pathol 2020; 37(3):143-7. doi: 10.1053/j.semdp.2020.03.001.
  2. Casals MR, Zeron PB, Munoz S, Soria N, Galiana D, Bertolaccini L, et al. Autoimmune diseases induced by TNF-targeted therapies: Analysis of 233 cases. Medicine (Baltimore) 2007; 86(4):242-51. doi: 10.1097/MD.0b013 e3181441a68.
  3. Singh AKB, Jeyaruban AS, Wilson GJ, Ranganathan D. Adalimumab-induced IgA nephropathy. BMJ Case Rep 2019; 12(3):e226442. doi: 10.1136/bcr-2018-226442.
  4. Rehnberg J, Symreng A, Ludvigsson JF, Emilsson L. Inflammatory bowel disease is more common in patients with IgA nephropathy and predicts progression of ESKD: A Swedish population-based cohort study. J Am Soc Nephrol 2021; 32(2):411-23. doi: 10.1681/ASN.2020060848.
  5. Hayashi R, Ueno Y, Tanaka S, Onishi K, Takasago T, Wakai M, et al. Clinical characteristics of inflammatory bowel disease patients with immunoglobulin a nephropathy. Intest Res 2021; 19(4):430-7. doi: 10.5217/ir.2020.00067.
  6. Filiopoulos V, Trompouki S, Hadjiyannakos D, Paraskevakou H, Kamperoglou D, Vlassopoulos D. IgA nephropathy in association with Crohn's disease: A case report and brief review of the literature. Ren Fail 2010; 32(4):523-7. doi: 10.3109/08860221003710554.
  7. Strobel T, Ahmed W, De la Sancha C, Bohm M, Fischer M. IgA nephropathy in the setting of anti-TNF-α therapy for inflammatory bowel disease. ACG Case Rep J 2020; 7(9): e00462. doi: 10.14309/crj.0000000000000462.
  8. Graziano F, Buse M, Cassata N, Lentini VL, Citrano M. IgA nephropathy in a child: Crohn's disease-associated or adalimumab induced? Curr Med Res Opin 2022; 38(1): 139-43. doi: 10.1080/03007995.2021.2015155.
  9. Ruszkowski J, Lisowska KA, Pindel M, Heleniak Z, Slizien AD, Witkowski JM. T cells in IgA nephropathy: Role in pathogenesis, clinical significance and potential therapeutic target. Clin Exp Nephrol 2019; 23(3):291-303. doi: 10. 1007/s10157-018-1665-0.
  10. Marcoux BS, De Bandt M; CRI (Club Rhumatismes et Inflammation). Vasculitides induced by TNFalpha anta-gonists: A study in 39 patients in France. Joint Bone Spine 2006; 73(6):710-3. doi: 10.1016/j.jbspin.2006.02.010.
  11. Almoallim H, Al-Ghamdi Y, Almaghrabi H, Alyasi O. Anti-tumor necrosis factor-α induced systemic lupus erythematosus. Open Rheumatol J 2012; 6:315-9. doi: 10.2174/1874312901206010315.
  12. Di Lernia V. IgA nephropathy during treatment with TNF-alpha blockers: Could it be predicted? Med Hypotheses 2017; 107:12-3. doi: 10.1016/j.mehy.2017.07.016.

Copyright © 2025. The author(s); published by College of Physicians and Surgeons Pakistan. This is an open-access article distributed under the terms of the CreativeCommons Attribution License (CC BY-NC-ND) 4.0 https://creativecommons.org/licenses/by-nc-nd/4.0/ which permits unrestricted use, distribution, and reproduction in any medium, provided the original work is properly cited.