SUBMIT YOUR MANUSCRIPT

VOLUME 3, YEAR 2025

  Case Report     2025  

Unilateral Primary Orbital Malignancy in a Seven-Month Child

By Murtaza Sameen, Zahra Arsalan, Huda Mir, Fariha Taimur, Tayyab Afghani

Affiliations

  1. Department of Orbit and Oculoplastics, Al-Shifa Trust Eye Hospital, Rawalpindi, Pakistan

ABSTRACT
Progressive unilateral primary proptosis is extremely rare in a newborn. There are different points to differentiate between inflammatory disease process, infectious cause, vascular lesion, endocrine lesion, and neoplastic lesion. The presented case will further elaborate on the features of primary orbital malignancy in a child. Here, we report a case of a seven-month girl, resident of Afghanistan, who presented to the Al-Shifa Trust Eye Hospital, Rawalpindi, Pakistan, in May 2024. The patient's father gave a history of having proptosis of the left eye at the age of three months. After detailed history, examination and investigations, it turned out to be an infantile undifferentiated round-cell sarcoma (Ewing-like sarcoma). The patient was referred to an oncologist for chemoradiotherapy. The second phase (rehabilitation phase) for prosthesis will be planned after completion of necessary cycles of chemotherapy and radiotherapy. The patient will be kept on follow-up for at least five years. Malignant tumours should also be considered in the differential diagnosis of any newborn with progressive unilateral proptosis. Surgical intervention followed by chemoradiotherapy can reduce the mortality rate.

Key Words: Proptosis, Malignant primary orbital tumours, Newborn, Sarcoma.

INTRODUCTION

Unilateral progressive lesions with proptosis in a newborn child are rare and present distinct challenges in correct diagnosis and management. The most common soft tissue tumour in childhood is rhabdo mayo sarcoma (RMS).1 The average age is 6-8 years but it can occur at any age.1 Another tumour of childhood presenting in the first and second years of life is Ewing’s sarcoma (ES), which is a small round-cell neuro-ectodermal tumour. It rarely occurs in orbit.

It is the second-most common malignant tumour that involves bones, head, and neck and commonly affects the maxilla, mandible, and skull.2

The histological aspects of this tumour resembles a small-round blue cell tumour, with immunohistochemical (IHC) positivity for CD-99, vimentin, BCOR, and TLE. Primary orbital ES is rare.3 We report a case of a primary orbital Ewing-like sarcoma in a seven-month child with unilateral progressive ulcerative proptosis of the left eye.

 

CASR  REPORT

A seven-month girl, resident of Afghanistan, presented to the Al-Shifa Trust Eye Hospital, Rawalpindi, Pakistan, with unilateral progressive ulcerative proptosis of the left eye for four months. The baby was in her usual state of health till the age of three months when her parents noticed the sudden rapid forward progression of her left eye.

On ophthalmological examination, there was axial proptosis of the left eye (approximately 9.5 × 9 × 8cm) and periocular swelling, disfigurement of the eyeball and intra-orbital contents along with loss of vision (Figure 1 A-C). While the anterior and posterior segment examinations of the right eye were unremarkable.

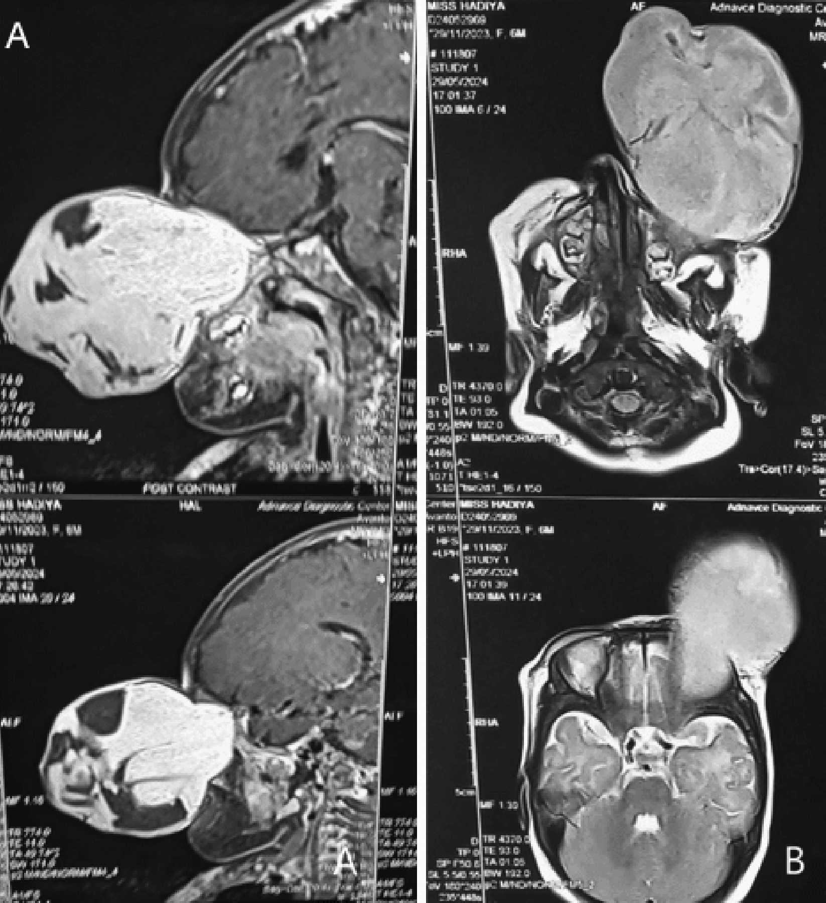
On general physical examination, the child was pale-looking, irritable, and restless. Pre-auricular, post-auricular, submandi-bular, and supraclavicular lymph nodes were not palpable. Imaging techniques revealed an intraconal mass that was extending up to the orbital apex, involving extraocular muscles but not eroding the orbital walls (Figure 2). Pre-auricular, post- auricular, submandibular, and cervical lymph nodes were not palpable. Surgical decompression with total exenteration of the left eye was carried out under general anaesthesia (Figure 1D). A histopathological report revealed a small round-cell undifferentiated sarcoma. Grossly, the tumour mass weighed about 280 grams.

The patient was referred to an oncologist for chemoradiotherapy cycles. The second phase (rehabilitation phase) will take place after six months of completion of chemoradiotherapy cycles and the patient will be referred to an ocularist for fitting of the ocular prosthesis.

Figure 1: Left axial proptosis (A-C) followed by total exentration (D).

Figure 2: MRI sagittal view and axial views of howling hyper intense lesion extending up to the left orbital apex.

DISCUSSION

Primary orbital tumours of childhood are extremely rare and remain undiagnosed on prenatal ultrasound. Most primary orbital tumours reported in literature are intra-orbital masses, with proptosis. This case report describes a unique case with proptosis of sudden onset, that progressed rapidly in four months. Differential diagnoses of such cases include ES, RMS, lymphoma, neuroblastoma, teratoma, and retinoblastoma.

ES was described by James Ewing in 1921. ES was associated with high mortality previously but now it has been noticed that surgical excision of the tumour along with chemoradiotherapy significantly reduces the rate of mortality. It has been noticed that local surgical excision along with radiotherapy alone has been proven an inadequate treatment with five-year survival rate of only <10%. However, the addition of chemotherapy along with surgical excision and radiotherapy has increased the survival rate to 50%.4,5

According to Esiashvili et al., the five-year survival rate for localised ES improved from 44 to 68% after 1993, while for metastatic disease, it increased from 16 to 39%.6

Additionally, the 10-year survival rate for localised disease rose from 39 to 63%, and for metastatic disease, it went from 16 to 32%.7

The case reported here is a seven-month child, who had a sudden unilateral progressive axial proptosis. The child underwent total exentration and on histopathology, it turned out to be infantile undifferentiated small round-cell sarcoma.

Malignant small-round blue cell tumours should also be considered in the differential diagnosis of any newborn with progressive unilateral proptosis. Surgical intervention followed by chemoradiotherapy can improve the prognosis of these cases.

PATIENT’S  CONSENT:
Informed consent was obtained from the patient’s parents to publish the data concerning this case.

COMPETING  INTEREST:
The authors declared no conflict of interest.

AUTHORS’  CONTRIBUTION:
MS: Conception and design of the work.
ZA: Drafting, acquisition, analysis of data, and writing of the manuscript.
HM: Revising the manuscript critically for the important intellectual content.
FT, TA: Final approval of the version to be published.
All authors approved the final version of the manuscript to be published.

REFERENCES

  1. Das J, Nath J, Chandramouli R, Rahaman M, Ahmed S. Ewing's sarcoma of the orbit: A case report and literature review. Cureus 2023; 15(11):e48592. doi: 10.7759/cureus. 48592.
  2. Zhang Y, Li YY, Yu HY, Xie XL, Zhang HM, He F, et al. Rare neonatal malignant primary orbital tumours: Three case reports. World J Clin Cases 2021; 9(26):7825-32. doi: 10. 12998/wjcc.v9.i26.7825.
  3. Alkatan HM, Al Marek F, Elkhamary S. Demographics of pediatric orbital lesions: A tertiary eye center experience in Saudi Arabia. J Epidemiol Glob Health 2019; 9(1):3-10. doi: 10.2991/jegh.k.181224.001.
  4. Prakash MV, Indira R, Radhakrishnan M, Leela G. Malignant orbital teratoma in a neonate: A clinicopathological case report. J Postgrad Med 2017; 63(3):203-5. doi: 10.4103/ jpgm.JPGM_629_16.
  5. Abbasi S, Cheema A. Ewing sarcoma of orbit with intracranial extension. Pak J Ophthalmol 2015; 31(2): 111-4. doi: 10.36351/pjo.v31i2.170.
  6. Esiashvili N, Goodman M, Marcus Jr RB. Changes in incidence and survival of ewing sarcoma patients over the past 3 decades: Surveillance epidemiology and end results data. J Pediatr Hematol Oncol 2008; 30(6):425-30. doi: 10.1097/MPH.0b013e31816e22f3.
  7. Nair AP, Bettaswamy G, Aiswal AK, Garg P, Jaiswal S, Behari S. Ewing’s sarcoma of the orbit with intracranial extension: A rare cause of unilateral proptosis. J Pediatr Neurosci 2011; 6(1):36-9. doi: 10.4103/1817-1745.84405.

Copyright © 2025. The author(s); published by College of Physicians and Surgeons Pakistan. This is an open-access article distributed under the terms of the CreativeCommons Attribution License (CC BY-NC-ND) 4.0 https://creativecommons.org/licenses/by-nc-nd/4.0/ which permits unrestricted use, distribution, and reproduction in any medium, provided the original work is properly cited.