SUBMIT YOUR MANUSCRIPT

VOLUME 3, YEAR 2025

  Case Report     2025  

Unravelling the Coexistence of Incomplete Pancreatic Divisum and Choledochal Cyst

By Mariam Shah, Aroosa Kanwal, Laiba Masood, Sajida Shah

Affiliations

  1. Department of Radiology, Shifa International Hospital, Islamabad, Pakistan

ABSTRACT
Choledochal cysts are rare congenital cystic dilatations of the biliary tree. Pancreatic divisum is the most common anomaly of the pancreatic ductal system, characterised by the dorsal pancreatic duct functioning as the primary drainage channel, with the majority of secretions draining through the minor papilla. The co-occurrence of pancreatic divisum and choledochal cysts is rarely described. Pancreatic divisum can complicate the clinical course of choledochal cysts. The authors present a rare case of a three-year girl who presented with abdominal pain, and laboratory investigations revealed deranged pancreatic enzymes and liver function tests. Magnetic resonance cholangiopancreatography (MRCP) showed a Type I choledochal cyst with multiple calculi, along with incomplete pancreatic divisum. The patient underwent excision of the choledochal cyst and Roux-en-Y hepaticojejunostomy. Histopathology confirmed a choledochal cyst with chronic cholecystitis.

Key Words: Choledochal cyst, Incomplete pancreatic divisum, Biliary tree, Abnormal pancreato-biliary junction.

INTRODUCTION

Choledochal cysts are congenital cystic dilatations of the intrahepatic biliary tree, extrahepatic biliary tree, or both. The prevalence of choledochal cysts is lower in Western countries and higher in Southeast Asian countries, ranging from approximately 1: 13,000 to 1: 200,000.1 The aetiology is unclear; however, it is believed to be due to an abnormal pancreato- biliary junction, causing reflux of pancreatic enzymes into the bile duct, resulting in cholangitis and duct ectasia.2

Pancreatic divisum is a variation in pancreatic ductal anatomy, with the dorsal duct acting as the main draining channel and opening at the minor papilla, while the ventral duct opens at the major papilla without any communication. The incidence of pancreatic divisum is 4.5%.3

The co-occurrence of incomplete pancreatic divisum and choledochal cyst is rare. A case report by Xie et al. documented the simultaneous occurrence of both anomalies in a single patient, emphasising the rarity of this combination.4

The rarity of this concurrence necessitates a high index of suspicion as the presence of divisum may be one of the factors responsible for complications associated with pancreatic divisum.

This association makes us ponder whether the abnormal pancreato-biliary junction is the cause of the choledochal cyst as with divisum, most of the pancreatic juice drains into the minor papilla, which has no communication with the biliary tree.

CASE  REPORT

A three-year girl with no known comorbidities presented to the emergency department (ED) with complaints of abdominal pain and vomiting for the past two days. The abdominal pain was generalised and postprandial, resolving with reduced oral intake. The patient had 4 to 5 episodes of non-projectile vomiting, containing no blood, and associated with oral intake, and on and off constipation. She was managed in the ED with intravenous fluids and antiemetics. Her initial laboratory tests revealed deranged liver and pancreatic enzymes: Aspartate transaminase = 146 U/L, Alanine transaminase = 298 U/L, Alkaline phosphatase = 434 U/L, with serum amylase of 78 U/L and lipase of 156 U/L. Total bilirubin was 0.37 mg/dL. Her initial complete blood count showed haemoglobin of 12.9 g/dL, white cell count of 9850/µL, and platelet count of 413,000/µL.

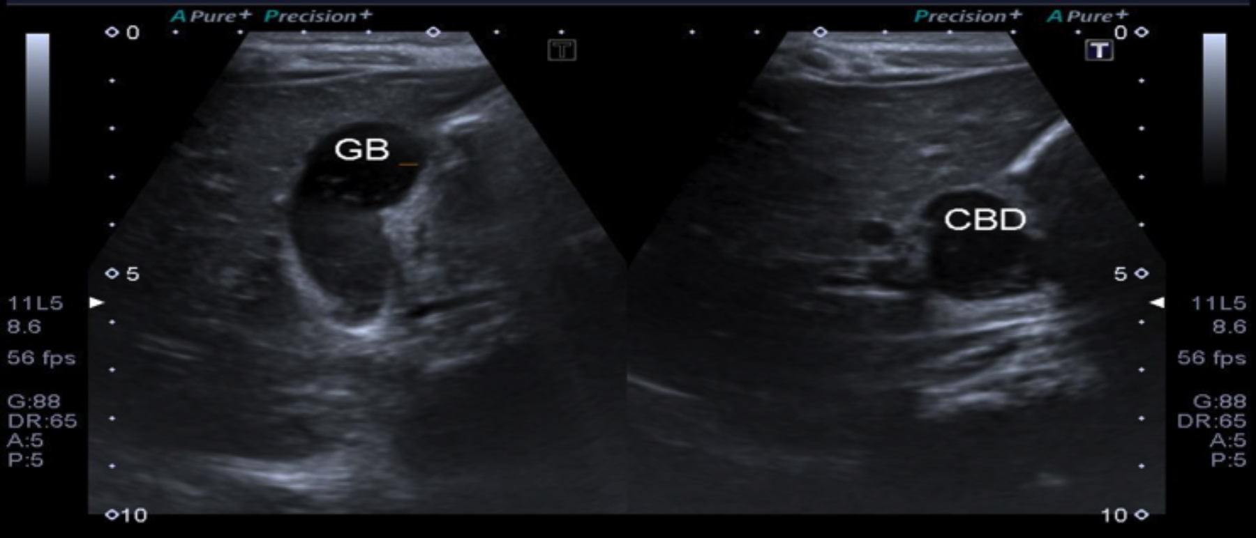
An abdominal ultrasound was performed, revealing fusiform dilatation of the common bile duct (CBD), suggestive of a Type I choledochal cyst (according to the Todani classification), with minimal sludge and micro-calculi in the distal CBD (choledocholithiasis). The gallbladder was moderately distended and filled with sludge and micro-calculi.

The patient was shifted to the floor, and MRCP was planned. The MRCP showed a dilated, ballooned-out proximal CBD with a calibre reaching up to 15 mm, along with multiple variable-sized internal filling defects likely representing type I choledochal cysts with choledocholithiasis (Figure 1, 2). Mild intra- and extrahepatic biliary dilatation was noted. The pancreatic duct exhibited variant anatomy, with the main pancreatic duct draining via the minor papilla and a small ventral duct draining into the CBD via the minor papilla. There was a rudimentary communication between the dorsal and ventral pancreatic ducts, suggesting pancreatic divisum (incomplete / type III, Figure 3).

Elective surgery was planned, and the patient underwent excision of the choledochal cyst with Roux-en-Y hepaticojejunostomy. Perioperative findings confirmed the MRCP findings of choledochal cyst, choledocholithiasis, and pancreatic divisum. Histopathological findings showed chronic cholecystitis with a choledochal cyst, negative for malignancy. The postoperative course was initially unsuccessful,  but  the  patient  was  then  asymptomatic.

Figure  1:  Moderately distended gallbladder with sludge and micro- calculi and dilatation of proximal common bile duct with internal micro- calculi suggesting Type I choledochal cyst with choledocholithiasis.

Figure 2: 3D reconstructed image of MRCP showing dilatation and ballooning of proximal CBD suggesting choledochal cyst represented by the red arrow. Few filling defects in distal CBD suggest choledocholi- thiasis.

Figure 3: 3D reconstructed image of MRCP showing pancreatic divisum with major / dorsal pancreatic duct opening via minor papilla (red arrow) and ventral pancreatic duct opening with CBD via major papiila (green arrow). Rudimentary communication of dorsal and ventral pancreatic duct (yellow arrow) suggest incomplete Type III pancreatic divisum.

DISCUSSION

Pancreatic divisum is the most common anomaly of the pancreatic system and results from the failure of fusion of the dorsal and ventral buds during intrauterine life. This leads to the dominant dorsal duct draining the majority of pancreatic secretions through the minor papilla, while the ventral duct joins with the CBD and drains into the major papilla.5

There are three main types of pancreatic divisum. Type I is the classic form, characterised by total non-union of the dorsal and ventral pancreatic ducts. Type II has an absent ventral duct, and type III represents incomplete pancreatic divisum, with only a rudimentary communication between the dorsal and ventral ducts.6 The present patient had the type III pancreatic divisum. Pancreatic divisum has gained significance as it is thought to be a cause of chronic abdominal pain.

Choledochal cysts are cystic dilatations of the biliary tree and require early recognition due to an increased risk of malignancy. Choledochal cysts present with upper abdominal mass, obstructive jaundice, and pain in children, while in adults, they present with pancreatic and biliary symptoms, including gallstones and cholecystitis due to biliary stasis.7

The cysts are also clinically important because of the increased risk of recurrent cholangitis, recurrent pancreatitis, strictures, and choledocholithiasis. According to the Todani classification, five types of choledochal cysts exist.8

Multiple theories attempt to explain the origin of choledochal cysts, with the most widely accepted one proposing that an abnormal pancreato-biliary junction, near the sphincter of Oddi, forms an unprotected channel that leads to the reflux of pancreatic enzymes into the CBD. There, they mix with biliary secretions, activating the pancreatic enzymes, causing inflammation, and dilatation of the CBD. Type II and III choledochal cysts are believed to arise from biliary system dilatation, while Type V results due to the absence of normal remodelling of the ductal plate.9

Ultrasound has a high sensitivity in diagnosing choledochal cysts, and radionuclide scintigraphy has been used for a long time. Multidetector CT is also employed, but comparative studies have shown that MRCP is superior in diagnosing choledochal cysts. Endoscopic retrograde cholangiopancreatography (ERCP) also provides excellent diagnostic results but is invasive with its own complications.10 In this patient, both ultrasound and MRCP accurately diagnosed the anomaly.

Choledochal cysts with pancreatic divisum are a rare condition. In our patient, the choledochal cyst was categorised as type I according to the Todani classification. MRCP showed a ballooned-out CBD with multiple internal calculi. Pancreatic divisum in this patient was incomplete (Type III), with a small rudimentary communication between the dorsal and ventral pancreatic ducts.

PATIENT’S  CONSENT:
Informed  consent  was  taken  from  the  patient’s  parents.

COMPETING  INTEREST:
The  authors  declared  no  conflict  of  interest.

AUTHORS’ CONTRIBUTION:
MS: Substantial contribution to the design, conception of work, and manuscript writing.
AK: Drafting, writing of the manuscript, and analysis of data.
LM: Critical revision of the manuscript for important content.
SS: Final approval of the version to be published.
All authors approved the final version of the manuscript to be published.

REFERENCES

  1. Rodriguez AR, Braun RB, Ramos ES, Prieto JV, Lezama ER, Mercado MA. A rare case of choledochal cyst with pancreas divisum: Case presentation and literature review. Ann Hepatobiliary Pancreat Surg 2017; 21(1):52-6. doi: 10. 14701/ahbps.2017.21.1.52.
  2. Pakkala A, Nagari B, Nekarakanti PK, Bansal AK. A case series of choledochal cyst with pancreatic divisum: A rare association. Turk J Surg 2022; 38(3):294-7. doi: 10.47717/ turkjsurg.2022.5609.
  3. Ferri V, Vicente E, Quijano Y, Ielpo B, Duran H, Diaz E, et al. Diagnosis and treatment of pancreas divisum: A literature review. Hepatobiliary Pancreat Dis Int 2019; 18(4):332-6. doi: 10.1016/j.hbpd.2019.05.004.
  4. Xie Q, Chen Y, Li Y. Co-occurrence of incomplete pancreatic divisum and type I choledochal cyst in a child: A rare case. J Pediatr Surg Case Rep 2019; 49:101194. doi: 10.1016/j. epsc.2019.101194.
  5. Gutta A, Fogel E, Sherman S. Identification and manage-ment of pancreas divisum. Expert Rev Gastroenterol Hepatol 2019; 13(11):1089-105. doi: 10.1080/17474124. 2019.1677877.
  6. Quest L, Lombard M. Pancreas divisum: Opiniondivisa. Gut 2000; 47(3):317-9. doi: 10.1136/gut.47.3.317.
  7. Soares KC, Arnaoutakis DJ, Kamel I, Rastegar N, Anders R, Maithel S, et al. Choledochal cysts: Presentation, clinical differentiation, and management. J Am Coll Surg 2014; 219(6):1167-80. doi: 10.1016/j.jamcollsurg.2014.04.023.
  8. Wiseman K, Buczkowski AK, Chung SW, Francoeur J, Schaeffer D, Scudamore CH. Epidemiology, presentation, diagnosis, and outcomes of choledochal cysts in adults in an urban environment. Am J Surg 2005; 189(5):527-31. doi: 10.1016/j.amjsurg.2005.01.025.
  9. Myrthong AL, Abhinav CG, Rashid R, Venu V, Kb V. Navigating the nexus: A rare case of choledochal cyst with concomitant pancreas divisum. Cureus 2024; 16(7): e63964. doi: 10.7759/cureus.63964.
  10. Metcalfe MS, Wemyss-Holden SA, Maddern GJ. Management dilemmas with choledochal cysts. Arch Surg 2003; 138(3):333-9. doi: 10.1001/archsurg.138.3.333.

Copyright © 2025. The author(s); published by College of Physicians and Surgeons Pakistan. This is an open-access article distributed under the terms of the CreativeCommons Attribution License (CC BY-NC-ND) 4.0 https://creativecommons.org/licenses/by-nc-nd/4.0/ which permits unrestricted use, distribution, and reproduction in any medium, provided the original work is properly cited.